FGF家族因子在类器官培养中使用广泛,其中,FGF-10多用于胃类器官、肝类器官、肺类器官、前列腺类器官、垂体瘤类器官、
乳腺癌类器官的培养过程中。
近岸蛋白提供高纯度、高活性、低内毒素的重组FGF-10蛋白,并已在多种类器官模型中验证其促进类器官生长的功能,让您的类
器官培养更可控!
产品数据:
高活性重组FGF-10蛋白(Cat#CR11)

Measured by its ability to induce FGFRIIIb receptor activity in HEK293T human embryonic kidney cells.
The ED50 for this effect is 3.82ng/ml (Regularly tested).

The activity of Recombinant Human FGF-10 Protein(Cat#CR11) was comparable to Brand R.
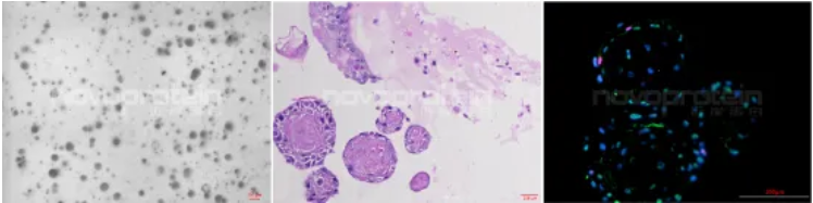
类器官验证数据
![]() | ![]() | |
| Mouse Gastric organoids were cultured with EGF (Cat#C029), Wnt3a (Cat#C22R), Noggin (Cat#C028) , R-spondin 1 (Cat#CX83) and FGF-10 (Cat#CR11). The organoids showed good morphology. | Mouse bile duct organoids were cultured with EGF (Cat#C029) , R-spondin 1 (Cat#CX83) ,FGF-10 (Cat#CR11) and HGF (Cat#CJ72). The organoids showed good morphology. |

Human breast cancer organoids were cultured with Wnt3a(Cat#C22R),Noggin (Cat#CB89),R-spondin 3
(Cat#C18C),KGF(Cat#CH73),FGF-10(Cat#CR11), EGF(Cat#C029)and NRG1-beta 1(Cat#C753). DAPI
(blue), Ki67(red) and ER(green).
产品推荐
| 目录号 | 产品名称 |
| CR11 | Recombinant Human FGF-10 |
| CR108 | Recombinant Mouse FGF-10 |
相关产品
目录号 | 产品名称 |
C049 | Recombinant Human FGFa (140AA) |
CH53 | Recombinant Human FGFa (154AA) |
C043 | Recombinant Mouse/Rat FGFa |
C779 | Recombinant Human FGFb (146AA)⭐ |
C751 | Recombinant Human FGFb (155AA) |
C046 | Recombinant Human FGFb (157AA) ⭐ |
GMP-C046 | Recombinant Human FGF basic⭐ |
CH88 | Recombinant Human FGFb (K128N) |
CH89 | Recombinant Human FGFb (Q65I,C96S,N111G) |
C044 | Recombinant Mouse FGFb |
CM25 | Recombinant Rat FGFb |
CR68 | Recombinant Human FGF-4 (136AA) |
CR08 | Recombinant Human FGF-4 (153AA)⭐ |
CR66 | Recombinant Mouse FGF-4 |
CH73 | Recombinant Human KGF⭐ |
GMP-CH73 | Recombinant Human KGF⭐ |
CM88 | Recombinant Human KGF (C-6His) |
CR99 | Recombinant Mouse KGF |
C798 | Recombinant Human/Mouse FGF-8b⭐ |
GMP-C798 | Recombinant Human FGF-8b⭐ |
CK12 | Recombinant Human FGF-8f (N-6His) |
C198 | Recombinant Human FGF-9⭐ |
GMP-C198 | Recombinant Human FGF-9⭐ |
CR12 | Recombinant Mouse FGF-9 (N-6His) |
C222 | Recombinant Human FGF-12 |
CG42 | Recombinant Human FGF-17 |
C996 | Recombinant Human FGF-17 (C-6His) |
CR04 | Recombinant Mouse FGF-17 (C-6His) |
CR105 | Recombinant Human FGF-18 |
C46H | Recombinant Human FGF-18 (C-6His) |
CG74 | Recombinant Human FGF-19 (N-6His) |
C223 | Recombinant Human FGF-21 (N-6His) |
C04D | Recombinant Mouse FGF-21 (C-6His) |
CS24 | Recombinant Cynomolgus FGF-21 (C-6His) |