

货号
产品规格
售价
备注
BN41969R-50ul
50ul
¥1486.00
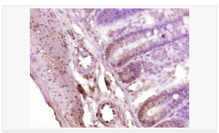
交叉反应:Human,Mouse,Rat(predicted:Dog,Pig,Cow,Horse,Sheep) 推荐应用:WB,IHC-P,IHC-F,ICC,IF,Flow-Cyt,ELISA
BN41969R-100ul
100ul
¥2360.00
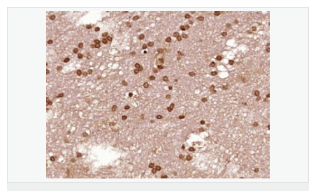
交叉反应:Human,Mouse,Rat(predicted:Dog,Pig,Cow,Horse,Sheep) 推荐应用:WB,IHC-P,IHC-F,ICC,IF,Flow-Cyt,ELISA
BN41969R-200ul
200ul
¥3490.00
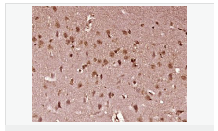
交叉反应:Human,Mouse,Rat(predicted:Dog,Pig,Cow,Horse,Sheep) 推荐应用:WB,IHC-P,IHC-F,ICC,IF,Flow-Cyt,ELISA
产品描述
| 英文名称 | STAT1 |
| 中文名称 | 信号转导与转录激活因子1抗体 |
| 别 名 | signal transducers and activators of transcription 1; DKFZp686B04100; ISGF 3; ISGF-3; Signal transducer and activator of transcription 1 91kDa; Signal transducer and activator of transcription 1 alpha/beta; STAT 1; STAT-1; STAT 91; STAT91; Transcription factor ISGF 3 components p91 p84; ; Transcription factor ISGF-3 components p91/p84; OTTHUMP00000163552; OTTHUMP00000165046; OTTHUMP00000165047; OTTHUMP00000205845; Signal transducer and activator of transcription 1, 91kD; Signal transducer and activator of transcription 1-alpha/beta; Signal Transductor and Activator of Transcription 1; STAT1_HUMAN; CANDF7; IMD31A; IMD31B; IMD31C. |
| 研究领域 | 肿瘤 细胞生物 信号转导 转录调节因子 激酶和磷酸酶 表观遗传学 |
| 抗体来源 | Rabbit |
| 克隆类型 | Polyclonal |
| 交叉反应 | Human, Mouse, Rat, (predicted: Dog, Pig, Cow, Horse, Sheep, ) |
| 产品应用 | WB=1:500-2000 ELISA=1:5000-10000 IHC-P=1:100-500 IHC-F=1:100-500 ICC=1:100-500 IF=1:100-500 (石蜡切片需做抗原修复) not yet tested in other applications. optimal dilutions/concentrations should be determined by the end user. |
| 分 子 量 | 84kDa |
| 细胞定位 | 细胞核 细胞浆 |
| 性 状 | Liquid |
| 浓 度 | 1mg/ml |
| 免 疫 原 | KLH conjugated synthetic peptide derived from human STAT1:251-350/750 |
| 亚 型 | IgG |
| 纯化方法 | affinity purified by Protein A |
| 储 存 液 | 0.01M TBS(pH7.4) with 1% BSA, 0.03% Proclin300 and 50% Glycerol. |
| 保存条件 | Shipped at 4℃. Store at -20 °C for one year. Avoid repeated freeze/thaw cycles. |
| PubMed | PubMed |
| 产品介绍 | Membrane receptor signaling by various ligands, including interferons and growth hormones such as EGF, induces activation of JAK kinases which then leads to tyrosine phosphorylation of the various Stat transcription factors. Stat1 and Stat2 are induced by IFN-å and form a heterodimer which is part of the ISGF3 transcription factor complex. Although early reports indicate Stat3 activation by EGF and IL-6, it has been shown that Stat3∫ appears to be activated by both while Stat3å is activated by EGF, but not by IL-6. Highest expression of Stat4 is seen in testis and myeloid cells. IL-12 has been identified as an activator of Stat4. Stat5 has been shown to be activated by Prolactin and by IL-3. Stat6 is involved in IL-4 activated signaling pathways. Function: Signal transducer and activator of transcription that mediates signaling by interferons (IFNs). Following type I IFN (IFN-alpha and IFN-beta) binding to cell surface receptors, Jak kinases (TYK2 and JAK1) are activated, leading to tyrosine phosphorylation of STAT1 and STAT2. The phosphorylated STATs dimerize, associate with ISGF3G/IRF-9 to form a complex termed ISGF3 transcription factor, that enters the nucleus. ISGF3 binds to the IFN stimulated response element (ISRE) to activate the transcription of interferon stimulated genes, which drive the cell in an antiviral state. In response to type II IFN (IFN-gamma), STAT1 is tyrosine- and serine-phosphorylated. It then forms a homodimer termed IFN-gamma-activated factor (GAF), migrates into the nucleus and binds to the IFN gamma activated sequence (GAS) to drive the expression of the target genes, inducing a cellular antiviral state. Subunit: Isoform alpha homodimerizes upon IFN-gamma induced phosphorylation. Heterodimer with STAT2 upon IFN-alpha/beta induced phosphorylation. Interacts with NMI. Interacts with Sendai virus C', C, Y1 and Y2 proteins, Nipah virus P, V and W proteins, and rabies virus phosphoprotein preventing activation of ISRE and GAS promoter. Interacts with HCV core protein; the interaction results in STAT1 degradation. Interacts with PIAS1; the interaction requires phosphorylation on Ser-727 and inhibits STAT1 activation. Interacts with IFNAR1; the interaction requires the phosphorylation of IFNAR1 at 'Tyr-466'. Interacts with IFNAR2. Interacts with PIAS1 (dimethylated on arginine); the interaction results in release of STAT1 from its target gene. Interacts with SRC. Interacts with ERBB4 (phosphorylated). Interacts with PTK2/FAK1. Subcellular Location: Cytoplasm. Nucleus. Translocated into the nucleus in response to IFN-gamma-induced tyrosine phosphorylation and dimerization. Post-translational modifications: Phosphorylated on tyrosine and serine residues in response to a variety of cytokines/growth hormones including IFN-alpha, IFN-gamma, PDGF and EGF. Activated KIT promotes phosphorylation on tyrosine residues and subsequent translocation to the nucleus. Tyrosine phosphorylated in response to constitutively activated FGFR1, FGFR2, FGFR3 and FGFR4. Upon EGF stimulation, phosphorylation on Tyr-701 (lacking in beta form) by JAK1, JAK2 or TYK2 promotes dimerization and subsequent translocation to the nucleus. Growth hormone (GH) activates STAT1 signaling only via JAK2. PHosphorylation on Ser-727 by several kinases including MAPK14, ERK1/2 and CAMKII on IFN-gamma stimulation, regulates STAT1 transcriptional activity. Phosphorylation on Ser-727 promotes sumoylation though increasing interaction with PIAS. Phosphorylation on Ser-727 by PKCdelta induces apoptosis in response to DNA-damaging agents. Phosphorylated on tyrosine residues when PTK2/FAK1 is activated; most likely this is catalyzed by a SRC family kinase. Sumoylated with SUMO1, SUMO2 and SUMO3. Sumoylation is enhanced by IFN-gamma-induced phosphorylation on Ser-727, and by interaction with PIAS proteins. Enhances the transactivation activity. ISGylated. DISEASE: Defects in STAT1 are the cause of STAT1 deficiency complete (STAT1D) [MIM:613796]. STAT1D is a disorder characterized by susceptibility to severe mycobacterial and viral infections. Affected individuals can develop disseminated infections and die of viral illness. Defects in STAT1 are a cause of mendelian susceptibility to mycobacterial disease (MSMD) [MIM:209950]; also known as familial disseminated atypical mycobacterial infection. This rare condition confers predisposition to illness caused by moderately virulent mycobacterial species, such as Bacillus Calmette-Guerin (BCG) vaccine and environmental non-tuberculous mycobacteria, and by the more virulent Mycobacterium tuberculosis. Other microorganisms rarely cause severe clinical disease in individuals with susceptibility to mycobacterial infections, with the exception of Salmonella which infects less than 50% of these individuals. The pathogenic mechanism underlying MSMD is the impairment of interferon-gamma mediated immunity whose severity determines the clinical outcome. Some patients die of overwhelming mycobacterial disease with lepromatous-like lesions in early childhood, whereas others develop, later in life, disseminated but curable infections with tuberculoid granulomas. MSMD is a genetically heterogeneous disease with autosomal recessive, autosomal dominant or X-linked inheritance. Defects in STAT1 are the cause of familial candidiasis type 7 (CANDF7) [MIM:614162]. A primary immunodeficiency disorder with altered immune responses and impaired clearance of fungal infections, selective against Candida. It is characterized by persistent and/or recurrent infections of the skin, nails and mucous membranes caused by organisms of the genus Candida, mainly Candida albicans. Note=STAT1 mutations in patients with autosomal dominant candidiasis lead to defective responses of type 1 and type 17 helper T-cells, characterized by reduced production of interferon-alpha, interleukin-17, and interleukin-22. These cytokines are crucial for the antifungal defense of skin and mucosa (PubMed:21714643). Similarity: Belongs to the transcription factor STAT family. Contains 1 SH2 domain. SWISS: P42224 Gene ID: 6772 Database links: Entrez Gene: 6772 Human Entrez Gene: 20846 Mouse Omim: 600555 Human SwissProt: P42224 Human SwissProt: P42225 Mouse Unigene: 642990 Human Unigene: 743244 Human Unigene: 277406 Mouse Unigene: 33229 Rat Important Note: This product as supplied is intended for research use only, not for use in human, therapeutic or diagnostic applications. |





