

货号
产品规格
售价
备注
BN41922R-50ul
50ul
¥1486.00
交叉反应:Human,Mouse,Rat(predicted:Dog,Pig,Cow,Horse,Rabbit,Sheep) 推荐应用:WB,Flow-Cyt,ELISA
BN41922R-100ul
100ul
¥2360.00
交叉反应:Human,Mouse,Rat(predicted:Dog,Pig,Cow,Horse,Rabbit,Sheep) 推荐应用:WB,Flow-Cyt,ELISA
BN41922R-200ul
200ul
¥3490.00
交叉反应:Human,Mouse,Rat(predicted:Dog,Pig,Cow,Horse,Rabbit,Sheep) 推荐应用:WB,Flow-Cyt,ELISA
产品描述
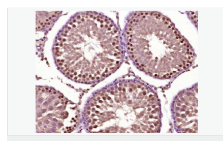
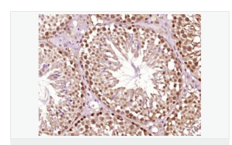
| 英文名称 | Acrosin |
| 中文名称 | 精子顶体前体蛋白抗体 |
| 别 名 | ACR; Acrosin precursor; ACRS;Preproacrosin; Proacrosin; ACRO_HUMAN. |
| 研究领域 | 细胞生物 免疫学 泛素 |
| 抗体来源 | Rabbit |
| 克隆类型 | Polyclonal |
| 交叉反应 | Human, Mouse, Rat, (predicted: Dog, Pig, Cow, Horse, Rabbit, Sheep, ) |
| 产品应用 | WB=1:500-2000 ELISA=1:5000-10000 IHC-P=1:100-500 IHC-F=1:100-500 Flow-Cyt=1ug/Test IF=1:50-200 (石蜡切片需做抗原修复) not yet tested in other applications. optimal dilutions/concentrations should be determined by the end user. |
| 分 子 量 | 33/44kDa |
| 细胞定位 | 细胞核 细胞浆 |
| 性 状 | Liquid |
| 浓 度 | 1mg/ml |
| 免 疫 原 | KLH conjugated synthetic peptide derived from human Acrosin heavy chain:201-300/421 |
| 亚 型 | IgG |
| 纯化方法 | affinity purified by Protein A |
| 储 存 液 | 0.01M TBS(pH7.4) with 1% BSA, 0.03% Proclin300 and 50% Glycerol. |
| 保存条件 | Shipped at 4℃. Store at -20 °C for one year. Avoid repeated freeze/thaw cycles. |
| PubMed | PubMed |
| 产品介绍 | Acrosin is the major proteinase present in the acrosome of mature spermatozoa. It is a typical serine proteinase with trypsin-like specificity. It is stored in the acrosome in its precursor form, proacrosin. The active enzyme functions in the lysis of the zona pellucida, thus facilitating penetration of the sperm through the innermost glycoprotein layers of the ovum. The mRNA for proacrosin is synthesized only in the postmeiotic stages of spermatogenesis. In humans proacrosin first appears in the haploid spermatids. Function: Acrosin is the major protease of mammalian spermatozoa. It is a serine protease of trypsin-like cleavage specificity, it is synthesized in a zymogen form, proacrosin and stored in the acrosome. Subunit: Heavy chain (catalytic) and a light chain linked by two disulfide bonds. Forms heterodimer with SERPINA5. Similarity: Belongs to the peptidase S1 family. Contains 1 peptidase S1 domain. SWISS: P10323 Gene ID: 49 Database links: Entrez Gene: 49 Human Omim: 102480 Human SwissProt: P10323 Human Important Note: This product as supplied is intended for research use only, not for use in human, therapeutic or diagnostic applications. |



