

货号
产品规格
售价
备注
BN41730R-50ul
50ul
¥1486.00
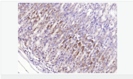
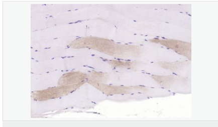
交叉反应:Human,Mouse,Rat(predicted:Pig,Cow,Sheep) 推荐应用:WB,IHC-P,Flow-Cyt,ELISA
BN41730R-100ul
100ul
¥2360.00
交叉反应:Human,Mouse,Rat(predicted:Pig,Cow,Sheep) 推荐应用:WB,IHC-P,Flow-Cyt,ELISA
BN41730R-200ul
200ul
¥3490.00
交叉反应:Human,Mouse,Rat(predicted:Pig,Cow,Sheep) 推荐应用:WB,IHC-P,Flow-Cyt,ELISA
产品描述
| 英文名称 | F-Actin |
| 中文名称 | 纤维状肌动蛋白抗体 |
| 别 名 | f actin; Filamentous actin; F-actin capping protein alpha subunit; CapZ alpha-1; CAZA1_HUMAN; CAPZA1. |
| 研究领域 | 免疫学 细胞骨架 |
| 抗体来源 | Rabbit |
| 克隆类型 | Polyclonal |
| 交叉反应 | Human, Mouse, Rat, (predicted: Pig, Cow, Sheep, ) |
| 产品应用 | WB=1:1000-5000 ELISA=1:5000-10000 IHC-P=1:100-500 Flow-Cyt=3μg /test (石蜡切片需做抗原修复) not yet tested in other applications. optimal dilutions/concentrations should be determined by the end user. |
| 分 子 量 | 42kDa |
| 细胞定位 | 细胞浆 |
| 性 状 | Liquid |
| 浓 度 | 1mg/ml |
| 免 疫 原 | Synthetic MAP peptide derived from human beta-Actin:1-50/374 |
| 亚 型 | IgG |
| 纯化方法 | affinity purified by Protein A |
| 储 存 液 | 0.01M TBS(pH7.4) with 1% BSA, 0.03% Proclin300 and 50% Glycerol. |
| 保存条件 | Shipped at 4℃. Store at -20 °C for one year. Avoid repeated freeze/thaw cycles. |
| PubMed | PubMed |
| 产品介绍 | In vertebrates, three main groups of actin isoforms, alpha, beta, and gamma have been identified. The alpha actins, found in muscletissues, are a major constituent of the contractile apparatus. The beta and gamma actins coexist in most cell types as components of the cytoskeleton, and as mediators of internal cell motility. Individual subunits of microfilaments are known as globular actin (G-actin). G-actin subunits assemble into long filamentous polymers called F-actin. SWISS: P60709 Gene ID: 60 Database links: Entrez Gene: 60 Human Entrez Gene: 11461 Mouse Entrez Gene: 100009272 Rabbit Omim: 102630 Human SwissProt: P60709 Human SwissProt: P60710 Mouse SwissProt: P29751 Rabbit Unigene: 520640 Human Unigene: 708120 Human Unigene: 727576 Human Unigene: 328431 Mouse Unigene: 391967 Mouse Unigene: 94978 Rat Important Note: This product as supplied is intended for research use only, not for use in human, therapeutic or diagnostic applications. 纤维状肌动蛋白F-Actin主要存在于横纹肌原肌纤维细丝及平滑肌中,是肌肉运动和细胞运动的重要蛋白。 |



