

货号
产品规格
售价
备注
BN41727R-50ul
50ul
¥1486.00
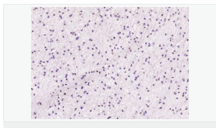
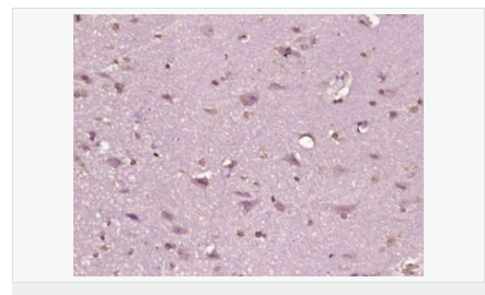
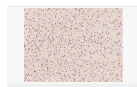
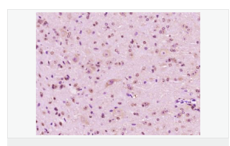
交叉反应:Rat,Mouse,Human(predicted:Sheep,Rabbit,Horse,Cow,Pig,Dog) 推荐应用:WB,IHC-P,IHC-F,ICC,IF,Flow-Cyt,ELISA
BN41727R-100ul
100ul
¥2360.00
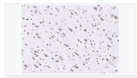
交叉反应:Rat,Mouse,Human(predicted:Sheep,Rabbit,Horse,Cow,Pig,Dog) 推荐应用:WB,IHC-P,IHC-F,ICC,IF,Flow-Cyt,ELISA
BN41727R-200ul
200ul
¥3490.00
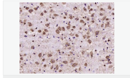
交叉反应:Rat,Mouse,Human(predicted:Sheep,Rabbit,Horse,Cow,Pig,Dog) 推荐应用:WB,IHC-P,IHC-F,ICC,IF,Flow-Cyt,ELISA
产品描述
| 英文名称 | ATF4 |
| 中文名称 | 活化转录因子4抗体 |
| 别 名 | Cyclic AMP response element binding protein 2; DNA binding protein TAXREB67; Activating Transcription Factor 4; ATF 4; ATF4 protein; CREB 2; CREB2; CREB-2; Cyclic AMP dependent transcription factor ATF 4; Tax Responsive Enhancer Element B67; TAXREB67; TXREB; ATF4_HUMAN. |
| 研究领域 | 肿瘤 信号转导 细胞凋亡 转录调节因子 |
| 抗体来源 | Rabbit |
| 克隆类型 | Polyclonal |
| 交叉反应 | Human, Mouse, Rat, (predicted: Dog, Pig, Cow, Horse, Rabbit, Sheep, ) |
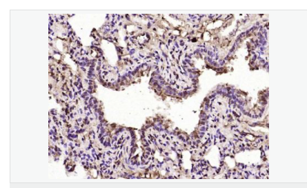
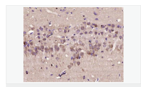
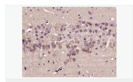
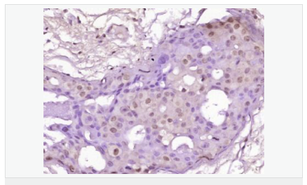
| 产品应用 | WB=1:500-2000 ELISA=1:5000-10000 IHC-P=1:100-500 IHC-F=1:100-500 Flow-Cyt=0.2μg /test IF=1:100-500 (石蜡切片需做抗原修复) not yet tested in other applications. optimal dilutions/concentrations should be determined by the end user. |
| 分 子 量 | 38kDa |
| 细胞定位 | 细胞核 细胞浆 细胞膜 |
| 性 状 | Liquid |
| 浓 度 | 1mg/ml |
| 免 疫 原 | KLH conjugated synthetic peptide derived from human ATF4:251-351/351 |
| 亚 型 | IgG |
| 纯化方法 | affinity purified by Protein A |
| 储 存 液 | 0.01M TBS(pH7.4) with 1% BSA, 0.03% Proclin300 and 50% Glycerol. |
| 保存条件 | Shipped at 4℃. Store at -20 °C for one year. Avoid repeated freeze/thaw cycles. |
| PubMed | PubMed |
| 产品介绍 | This gene encodes a transcription factor that was originally identified as a widely expressed mammalian DNA binding protein that could bind a tax-responsive enhancer element in the LTR of HTLV-1. The encoded protein was also isolated and characterized as the cAMP-response element binding protein 2 (CREB-2). The protein encoded by this gene belongs to a family of DNA-binding proteins that includes the AP-1 family of transcription factors, cAMP-response element binding proteins (CREBs) and CREB-like proteins. These transcription factors share a leucine zipper region that is involved in protein-protein interactions, located C-terminal to a stretch of basic amino acids that functions as a DNA binding domain. Two alternative transcripts encoding the same protein have been described. Two pseudogenes are located on the X chromosome at q28 in a region containing a large inverted duplication. [provided by RefSeq, Sep 2011] Function: Transcriptional activator. Binds the cAMP response element (CRE) (consensus: 5'-GTGACGT[AC][AG]-3'), a sequence present in many viral and cellular promoters. Cooperates with FOXO1 in osteoblasts to regulate glucose homeostasis through suppression of beta-cell production and decrease in insulin production. It binds to a Tax-responsive enhancer element in the long terminal repeat of HTLV-I. Regulates the induction of DDIT3/CHOP and asparagine synthetase (ASNS) in response to ER stress. In concert with DDIT3/CHOP, activates the transcription of TRIB3 and promotes ER stress-induced neuronal apoptosis by regulating the transcriptional induction of BBC3/PUMA. Activates transcription of SIRT4. Subunit: Binds DNA as a homo- or heterodimer. Interacts (via its leucine zipper domain) with GABBR1 and GABBR2 (via their C-termini). Interacts (via its DNA binding domain) with FOXO1 (C-terminal half); the interaction occurs in osteoblasts and regulates glucose homeostasis through suppression of beta-cell proliferation and a decrease in insulin production. Interacts with SATB2; the interaction results in enhanced DNA binding and transactivation by these transcription factors. Interacts with CEP290 (via an N-terminal region). Interacts with NEK6, DAPK2 (isoform 2) and ZIPK/DAPK3. Forms a heterodimer with TXLNG in osteoblasts. Interacts with DDIT3/CHOP. Subcellular Location: Cytoplasm. Cell membrane. Nucleus. Cytoplasm, cytoskeleton, microtubule organizing center, centrosome. Note=Colocalizes with GABBR1 in hippocampal neuron dendritic membranes. Co- localizes with NEK6 in the centrosome. Post-translational modifications: Ubiquitinated by SCF(BTRC) in response to mTORC1 signal, followed by proteasomal degradation and leading to down-regulate expression of SIRT4. Phosphorylated by NEK6. Phosphorylated on the betaTrCP degron motif at Ser-219, followed by phosphorylation at Thr-213, Ser-224, Ser-231, Ser-235 and Ser-248, promoting interaction with BTRC and ubiquitination. Phosphorylation is promoted by mTORC1. Phosphorylated by NEK6. Similarity: Belongs to the bZIP family. Contains 1 bZIP (basic-leucine zipper) domain. SWISS: P18848 Gene ID: 468 Database links: Entrez Gene: 468 Human Entrez Gene: 11911 Mouse NCBI: 33469976 Human Omim: 604064 Human SwissProt: P18848 Human SwissProt: Q96AQ3 Human SwissProt: Q06507 Mouse SwissProt: Q5U4B2 Mouse SwissProt: Q8CF69 Mouse Unigene: 496487 Human Unigene: 641 Mouse Unigene: 2423 Rat Important Note: This product as supplied is intended for research use only, not for use in human, therapeutic or diagnostic applications |

















