

货号
产品规格
售价
备注
BN41634R-50ul
50ul
¥1486.00
交叉反应:Human,Mouse,Rat(predicted:Dog,Pig,Horse,Rabbit,Sheep) 推荐应用:WB,IHC-P,IHC-F,ICC,IF,Flow-Cyt,ELISA
BN41634R-100ul
100ul
¥2360.00
交叉反应:Human,Mouse,Rat(predicted:Dog,Pig,Horse,Rabbit,Sheep) 推荐应用:WB,IHC-P,IHC-F,ICC,IF,Flow-Cyt,ELISA
BN41634R-200ul
200ul
¥3490.00
交叉反应:Human,Mouse,Rat(predicted:Dog,Pig,Horse,Rabbit,Sheep) 推荐应用:WB,IHC-P,IHC-F,ICC,IF,Flow-Cyt,ELISA
产品描述
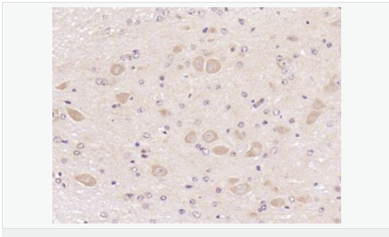
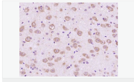
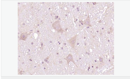
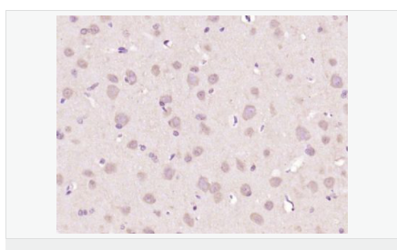
| 英文名称 | NSE |
| 中文名称 | 神经元特异性烯醇化酶/γ 烯醇化酶抗体 |
| 别 名 | Gamma-enolase; Gamma enolase; Neural enolase; Neuron specific enolase; neurone-specific enolase; 2 phospho D glycerate hydrolyase; Eno 2; Eno2; ENO2; ENOG; Enolase 2; Enolase 2 gamma neuronal; Enolase2; Neuron specific enolase; Neuron specific gamma enolase; NSE; ENOG_HUMAN; Gamma-enolase; 2-phospho-D-glycerate hydro-lyase; enolase 2, gamma, neuronal. |
| 抗体来源 | Rabbit |
| 克隆类型 | Polyclonal |
| 交叉反应 | Human, Mouse, Rat, (predicted: Dog, Pig, Horse, Rabbit, Sheep, ) |
| 产品应用 | WB=1:500-2000 ELISA=1:5000-10000 IHC-P=1:100-500 IHC-F=1:100-500 Flow-Cyt=1μg/Test ICC=1:100-500 IF=1:100-500 (石蜡切片需做抗原修复) not yet tested in other applications. optimal dilutions/concentrations should be determined by the end user. |
| 分 子 量 | 48kDa |
| 细胞定位 | 细胞浆 细胞膜 |
| 性 状 | Liquid |
| 浓 度 | 1mg/ml |
| 免 疫 原 | KLH conjugated synthetic peptide derived from human NSE:1-100/434 |
| 亚 型 | IgG |
| 纯化方法 | affinity purified by Protein A |
| 储 存 液 | 0.01M TBS(pH7.4) with 1% BSA, 0.03% Proclin300 and 50% Glycerol. |
| 保存条件 | Shipped at 4℃. Store at -20 °C for one year. Avoid repeated freeze/thaw cycles. |
| PubMed | PubMed |
| 产品介绍 | This gene encodes one of the three enolase isoenzymes found in mammals. This isoenzyme, a homodimer, is found in mature neurons and cells of neuronal origin. A switch from alpha enolase to gamma enolase occurs in neural tissue during development in rats and primates. [provided by RefSeq, Jul 2008]. Function: Has neurotrophic and neuroprotective properties on a broad spectrum of central nervous system (CNS) neurons. Binds, in a calcium-dependent manner, to cultured neocortical neurons and promotes cell survival. Subunit: Mammalian enolase is composed of 3 isozyme subunits, alpha, beta and gamma, which can form homodimers or heterodimers which are cell-type and development-specific. Subcellular Location: Cytoplasm. Cell membrane. Can translocate to the plasma membrane in either the homodimeric (alpha/alpha) or heterodimeric (alpha/gamma) form. Tissue Specificity: The alpha/alpha homodimer is expressed in embryo and in most adult tissues. The alpha/beta heterodimer and the beta/beta homodimer are found in striated muscle, and the alpha/gamma heterodimer and the gamma/gamma homodimer in neurons. Similarity: Belongs to the enolase family. SWISS: P09104 Gene ID: 2026 Database links: Entrez Gene: 2026 Human Entrez Gene: 13807 Mouse Omim: 131360 Human SwissProt: P09104 Human SwissProt: P17183 Mouse Unigene: 511915 Human Important Note: This product as supplied is intended for research use only, not for use in human, therapeutic or diagnostic applications. |









