

货号
产品规格
售价
备注
BN41611R-50ul
50ul
¥1486.00
交叉反应:Human,Mouse,Rat(predicted:Dog,Pig,Sheep,bat) 推荐应用:WB,IHC-P,IHC-F,IF,ELISA
BN41611R-100ul
100ul
¥2360.00
交叉反应:Human,Mouse,Rat(predicted:Dog,Pig,Sheep,bat) 推荐应用:WB,IHC-P,IHC-F,IF,ELISA
BN41611R-200ul
200ul
¥3490.00
交叉反应:Human,Mouse,Rat(predicted:Dog,Pig,Sheep,bat) 推荐应用:WB,IHC-P,IHC-F,IF,ELISA
产品描述
| 英文名称 | ACE2 |
| 中文名称 | 血管紧张素转换酶2抗体 |
| 别 名 | ACE-2; ACE 2; Angiotensin converting enzyme 2; ACE related carboxypeptidase; ACEH; Angiotensin converting enzyme homolog; Angiotensin converting enzyme like protein; Angiotensin I Converting Enzyme (peptidyl dipeptidase A) 2; Angiotensin I converting enzyme 2; DKFZP434A014; EC 3.4.17; OTTHUMP00000022963; angiotensin-converting enzyme 2 precursor; ACE2_HUMAN; Angiotensin-converting enzyme 2; ACE-related carboxypeptidase; Angiotensin-converting enzyme homolog; Metalloprotease MPROT15; Processed angiotensin-converting enzyme 2. |
| 研究领域 | 细胞生物 免疫学 信号转导 |
| 抗体来源 | Rabbit |
| 克隆类型 | Polyclonal |
| 交叉反应 | Human, Mouse, Rat, (predicted: Dog, Pig, Sheep, ) |
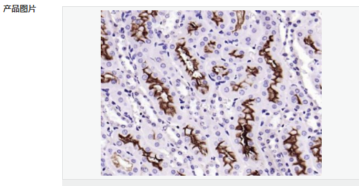
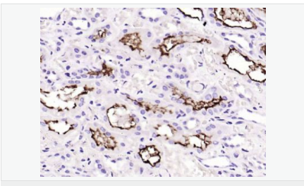
| 产品应用 | WB=1:500-2000 ELISA=1:5000-10000 IHC-P=1:100-500 IHC-F=1:100-500 ICC=1:100-500 IF=1:100-500 (石蜡切片需做抗原修复) not yet tested in other applications. optimal dilutions/concentrations should be determined by the end user. |
| 分 子 量 | 87kDa |
| 细胞定位 | 细胞膜 分泌型蛋白 |
| 性 状 | Liquid |
| 浓 度 | 1mg/ml |
| 免 疫 原 | KLH conjugated synthetic peptide derived from human ACE2:601-700/805 <Extracellular> |
| 亚 型 | IgG |
| 纯化方法 | affinity purified by Protein A |
| 储 存 液 | 0.01M TBS(pH7.4) with 1% BSA, 0.03% Proclin300 and 50% Glycerol. |
| 保存条件 | Shipped at 4℃. Store at -20 °C for one year. Avoid repeated freeze/thaw cycles. |
| PubMed | PubMed |
| 产品介绍 | Angiotensin converting enzyme 2 (ACE2) is an exopeptidase that catalyses the conversion of angiotensin I to the nonapeptide angiotensin[1-9], or the conversion of angiotensin II to angiotensin 1-7. ACE2 has direct effects on cardiac function,a and is expressed predominantly in vascular endothelial cells of the heart and the kidneys. ACE2 is not sensitive to the ACE inhibitor drugs used to treat hypertension. ACE2 receptors have been shown to be the entry point into human cells for some coronaviruses, including the SARS virus[10]. A number of studies have identified that the entry point is the same for SARS-CoV-2, the COVID-19 virus. Function: Carboxypeptidase which converts angiotensin I to angiotensin 1-9, a peptide of unknown function, and angiotensin II to angiotensin 1-7, a vasodilator. Also able to hydrolyze apelin-13 and dynorphin-13 with high efficiency. May be an important regulator of heart function. In case of human coronaviruses SARS and HCoV-NL63 infections, serve as functional receptor for the spike glycoprotein of both coronaviruses. Subunit: Interacts with ITGB1. Interacts with SARS-CoV and HCoV-NL63 spike glycoprotein. Subcellular Location: Processed angiotensin-converting enzyme 2: Secreted. Cell membrane; Single-pass type I membrane protein. Tissue Specificity: Expressed in endothelial cells from small and large arteries, and in arterial smooth muscle cells. Expressed in lung alveolar epithelial cells, enterocytes of the small intestine, Leydig cells and Sertoli cells (at protein level). Expressed in heart, kidney, testis, and gastrointestinal system. Post-translational modifications: N-glycosylation on Asn-90 may limit SARS infectivity. Proteolytic cleavage by ADAM17 generates a secreted form. Belongs to the peptidase M2 family. Similarity: Belongs to the peptidase M2 family. SWISS: Q9BYF1 Gene ID: 59272 Database links: Entrez Gene: 59272 Human Entrez Gene: 70008 Mouse Omim: 300335 Human SwissProt: Q9BYF1 Human SwissProt: Q8R0I0 Mouse Unigene: 178098 Human Unigene: 13451 Mouse Unigene: 129779 Rat Important Note: This product as supplied is intended for research use only, not for use in human, therapeutic or diagnostic applications. 合成与降解(Synthesis and Degradation) ACE-2的分布范围比较局限,ACE2主要在心脏、肾脏、睾丸中表达显著, 近来人们发现ACE2也分布在胃肠道、脑和肺脏中。 有关学者在研究心脏和肾脏中发现,ACE2在心肌缺血、肾功能衰竭、动脉粥样硬化和糖尿病并发症中,ACE2对血管紧张素产生和降解过程中有一定的生理作用。 特别是对ACE2在具有生理活性的-活性肽产生过程中的作用更值得进一步研究。 ACE2的发现为心血管病和肾脏病研究开辟了新天地,并提供了新的治疗靶点,可能导致未来心血管疾病治疗策略的改变。 |



