

货号
产品规格
售价
备注
BN41580R-50ul
50ul
¥1486.00
交叉反应:Human,Mouse,Rat(predicted:Dog,Pig,Cow,Rabbit,Sheep,Recombinant fragment,) 推荐应用:WB,IHC-P,IHC-F,IF,Flow-Cyt,ELISA
BN41580R-100ul
100ul
¥2360.00
交叉反应:Human,Mouse,Rat(predicted:Dog,Pig,Cow,Rabbit,Sheep,Recombinant fragment,) 推荐应用:WB,IHC-P,IHC-F,IF,Flow-Cyt,ELISA
BN41580R-200ul
200ul
¥3490.00
交叉反应:Human,Mouse,Rat(predicted:Dog,Pig,Cow,Rabbit,Sheep,Recombinant fragment,) 推荐应用:WB,IHC-P,IHC-F,IF,Flow-Cyt,ELISA
产品描述
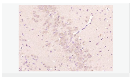
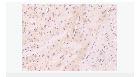
| 英文名称 | Cyclooxygenase 2 |
| 中文名称 | 环氧合酶2/前列腺素内过氧化物合成酶2抗体 |
| 别 名 | PTGS2; COX 2; COX2; COX-2; Cyclooxygenase; Cyclooxygenase2; Cyclooxygenase-2; hCox 2; PGG/HS; PGH synthase 2; PGHS 2; PGHS2; PHS 2; PHS II; PHS2 ; Prostaglandin endoperoxide synthase 2; Prostaglandin G/H synthase 2 precursor; Prostaglandin G/H synthase and cyclooxygenase; Prostaglandin G/H synthase 2; Prostaglandin H2 synthase 2; TIS10II; PGH2_HUMAN. |
| 研究领域 | 肿瘤 心血管 免疫学 信号转导 合成与降解 新陈代谢 |
| 抗体来源 | Rabbit |
| 克隆类型 | Polyclonal |
| 交叉反应 | Human, Mouse, Rat, (predicted: Dog, Pig, Cow, Rabbit, Sheep, ) |
| 产品应用 | WB=1:500-2000 ELISA=1:5000-10000 IHC-P=1:100-500 IHC-F=1:100-500 Flow-Cyt=1μg/Test IF=1:100-500 (石蜡切片需做抗原修复) not yet tested in other applications. optimal dilutions/concentrations should be determined by the end user. |
| 分 子 量 | 65kDa |
| 细胞定位 | 细胞浆 |
| 性 状 | Liquid |
| 浓 度 | 1mg/ml |
| 免 疫 原 | KLH conjugated synthetic peptide derived from human Cyclooxygenase 2:501-604/604 |
| 亚 型 | IgG |
| 纯化方法 | affinity purified by Protein A |
| 储 存 液 | 0.01M TBS(pH7.4) with 1% BSA, 0.03% Proclin300 and 50% Glycerol. |
| 保存条件 | Shipped at 4℃. Store at -20 °C for one year. Avoid repeated freeze/thaw cycles. |
| PubMed | PubMed |
| 产品介绍 | Prostaglandin-endoperoxide synthase (PTGS), also known as cyclooxygenase, is the key enzyme in prostaglandin biosynthesis, and acts both as a dioxygenase and as a peroxidase. There are two isozymes of PTGS: a constitutive PTGS1 and an inducible PTGS2, which differ in their regulation of expression and tissue distribution. This gene encodes the inducible isozyme. It is regulated by specific stimulatory events, suggesting that it is responsible for the prostanoid biosynthesis involved in inflammation and mitogenesis. [provided by RefSeq, Feb 2009] Function: Mediates the formation of prostaglandins from arachidonate. May have a role as a major mediator of inflammation and/or a role for prostanoid signaling in activity-dependent plasticity. Subunit: Homodimer. Subcellular Location: Microsome membrane; Peripheral membrane protein. Endoplasmic reticulum membrane; Peripheral membrane protein. Post-translational modifications: S-nitrosylation by NOS2 (iNOS) activates enzme activity. S-nitrosylation may take place on different Cys residues in addition to Cys-561. Similarity: Belongs to the prostaglandin G/H synthase family. Contains 1 EGF-like domain. SWISS: P35354 Gene ID: 5743 Database links: Entrez Gene: 5743 Human Entrez Gene: 19225 Mouse Omim: 600262 Human SwissProt: P35354 Human SwissProt: Q05769 Mouse Unigene: 196384 Human Unigene: 292547 Mouse Unigene: 44369 Rat Important Note: This product as supplied is intended for research use only, not for use in human, therapeutic or diagnostic applications. 合成与降解(Synthesis and Degradation) COX-2 前列腺素氧化环化酶-2是前列腺素合成的关键酶之一,为诱导性酶,他参与细胞对生长因子、肿瘤促进因子和细胞因子的反应,这些因子均能诱导COX2表达,它也参与前列腺素的合成。 COX2在80-90%的人结肠腺癌中表达显著增高,而COX1表达却不变。 |




