

货号
产品规格
售价
备注
BN41568R-50ul
50ul
¥1486.00
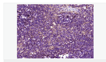
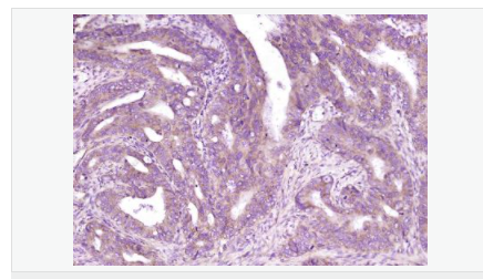
交叉反应:Human,Mouse,Rat,Pig(predicted:Dog,Cow,Sheep,GuineaPig,MACFA) 推荐应用:WB,IHC-P,IHC-F,IF,Flow-Cyt,ELISA
BN41568R-100ul
100ul
¥2360.00
交叉反应:Human,Mouse,Rat,Pig(predicted:Dog,Cow,Sheep,GuineaPig,MACFA) 推荐应用:WB,IHC-P,IHC-F,IF,Flow-Cyt,ELISA
BN41568R-200ul
200ul
¥3490.00
交叉反应:Human,Mouse,Rat,Pig(predicted:Dog,Cow,Sheep,GuineaPig,MACFA) 推荐应用:WB,IHC-P,IHC-F,IF,Flow-Cyt,ELISA
产品描述
| 英文名称 | CD4 |
| 中文名称 | CD4抗体 |
| 别 名 | CD4 (L3T4); CD4 antigen (p55); CD4 Antigen ; CD4 molecule; CD4 Receptor; CD4+ Lymphocyte deficiency, included; CD4mut; L3T4; Leu3; Ly-4; Lymphocyte antigen CD4; MGC165891; p55; T Cell Antigen T4 ; T cell antigen T4/LEU3; T cell differentiation antigen L3T4; T cell OKT4 deficiency, included; T cell surface antigen T4/Leu 3 ; T cell surface antigen T4/Leu3; T Cell Surface Glycoprotein CD4; W3/25; W3/25 antigen; T-cell surface glycoprotein CD4 isoform 1 precursor; CD4_HUMAN. |
| 研究领域 | 肿瘤 细胞生物 免疫学 干细胞 转录调节因子 细胞表面分子 t-淋巴细胞 |
| 抗体来源 | Rabbit |
| 克隆类型 | Polyclonal |
| 交叉反应 | Human, Mouse, Rat, Pig, (predicted: Dog, Cow, Sheep, Guinea Pig, MACFA) |
| 产品应用 | WB=1:500-2000 ELISA=1:5000-10000 IHC-P=1:100-500 IHC-F=1:100-500 Flow-Cyt=1μg/Test IF=1:100-500 (石蜡切片需做抗原修复) not yet tested in other applications. optimal dilutions/concentrations should be determined by the end user. |
| 分 子 量 | 48kDa |
| 细胞定位 | 细胞膜 |
| 性 状 | Liquid |
| 浓 度 | 1mg/ml |
| 免 疫 原 | KLH conjugated synthetic peptide derived from human CD4:385-457/457 <Cytoplasmic> |
| 亚 型 | IgG |
| 纯化方法 | affinity purified by Protein A |
| 储 存 液 | 0.01M TBS(pH7.4) with 1% BSA, 0.03% Proclin300 and 50% Glycerol. |
| 保存条件 | Shipped at 4℃. Store at -20 °C for one year. Avoid repeated freeze/thaw cycles. |
| PubMed | PubMed |
| 产品介绍 | This gene encodes a membrane glycoprotein of T lymphocytes that interacts with major histocompatibility complex class II antigenes and is also a receptor for the human immunodeficiency virus. This gene is expressed not only in T lymphocytes, but also in B cells, macrophages, and granulocytes. It is also expressed in specific regions of the brain. The protein functions to initiate or augment the early phase of T-cell activation, and may function as an important mediator of indirect neuronal damage in infectious and immune-mediated diseases of the central nervous system. Multiple alternatively spliced transcript variants encoding different isoforms have been identified in this gene. [provided by RefSeq, Aug 2010]. Function: Accessory protein for MHC class-II antigen/T-cell receptor interaction. May regulate T-cell activation. Induces the aggregation of lipid rafts. Subunit: Associates with LCK. Binds to HIV-1 gp120 and to P4HB/PDI and upon HIV-1 binding to the cell membrane, is part of P4HB/PDI-CD4-CXCR4-gp120 complex. Interacts with HIV-1 Envelope polyprotein gp160 and protein Vpu. Interacts with Human Herpes virus 7 capsid proteins. Interacts with PTK2/FAK1; this interaction requires the presence of HIV-1 gp120. Subcellular Location: Cell membrane; Single-pass type I membrane protein. Note=Localizes to lipid rafts. Removed from plasma membrane by HIV-1 Nef protein that increases clathrin-dependent endocytosis of this antigen to target it to lysosomal degradation. Cell surface expression is also down-modulated by HIV-1 Envelope polyprotein gp160 that interacts with, and sequesters CD4 in the endoplasmic reticulum. Post-translational modifications: Palmitoylation and association with LCK contribute to the enrichment of CD4 in lipid rafts. Similarity: Contains 3 Ig-like C2-type (immunoglobulin-like) domains. Contains 1 Ig-like V-type (immunoglobulin-like) domain. SWISS: P01730 Gene ID: 920 Database links: Entrez Gene: 920 Human Entrez Gene: 12504 Mouse Omim: 186940 Human SwissProt: P06332 Mouse SwissProt: P01730 Human Unigene: 631659 Human Unigene: 2209 Mouse Important Note: This product as supplied is intended for research use only, not for use in human, therapeutic or diagnostic applications. 此抗体可识别55KDⅠ型单链穿膜糖蛋白。 CD4分子是存在于大多数辅助/诱导T细胞表面的59kDa的糖蛋白。正常淋巴组织中CD4的表达数量多于CD8,此抗体主要用于标记辅助/诱导T细胞,与CD8单抗联合使用对外周血淋巴细胞分型。 CD4抗原是HLA-II类分子和人类免疫缺陷病毒(HIV)-爱滋病的受体,在35-50%外周血淋巴细胞-辅助和诱导T细胞(Th/Ti)和70-80%人胸腺细胞上表达,在人的单核细胞表面也有低密度的表达。 CD4抗原有膜结合型和可溶性两种形式。Th/Ti可辅助Ig产生和T细胞毒T细胞的作用。 |











