

货号
产品规格
售价
备注
BN41537R-50ul
50ul
¥1486.00
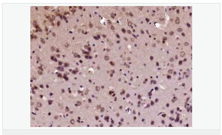
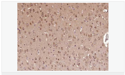
交叉反应:Human,Mouse,Rat(predicted:Pig) 推荐应用:WB,IHC-P,IHC-F,ICC,IF,ELISA
BN41537R-100ul
100ul
¥2360.00
交叉反应:Human,Mouse,Rat(predicted:Pig) 推荐应用:WB,IHC-P,IHC-F,ICC,IF,ELISA
BN41537R-200ul
200ul
¥3490.00
交叉反应:Human,Mouse,Rat(predicted:Pig) 推荐应用:WB,IHC-P,IHC-F,ICC,IF,ELISA
产品描述
| 英文名称 | c-fos |
| 中文名称 | c-fos抗体 |
| 别 名 | Cellular oncogene fos; FBJ murine osteosarcoma viral v fos oncogene homolog antibody FBJ Osteosarcoma Virus; FOS; FOS protein; G0 G1 switch regulatory protein 7; G0S7; Oncogene FOS; Proto oncogene protein c fos; v fos FBJ murine osteosarcoma viral oncogene homolog; AP-1; p55; FOS_HUMAN; Proto-oncogene c-Fos; G0/G1 switch regulatory protein 7. |
| 研究领域 | 肿瘤 细胞生物 免疫学 神经生物学 信号转导 转录调节因子 肿瘤细胞生物标志物 |
| 抗体来源 | Rabbit |
| 克隆类型 | Polyclonal |
| 交叉反应 | Human, Mouse, Rat, (predicted: Pig, ) |
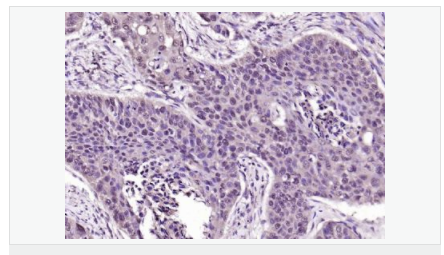
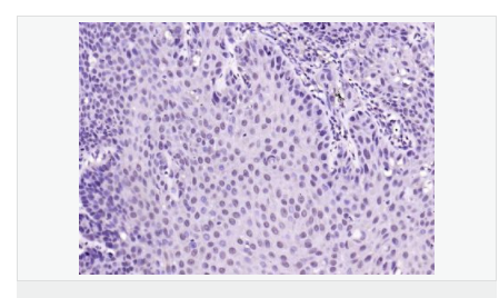
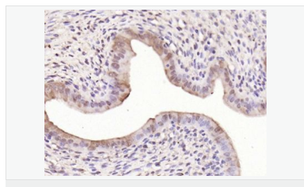
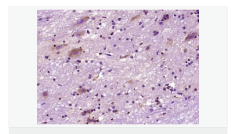
| 产品应用 | WB=1:500-2000 ELISA=1:5000-10000 IHC-P=1:100-500 IHC-F=1:100-500 ICC=1:100 IF=1:100-500 (石蜡切片需做抗原修复) not yet tested in other applications. optimal dilutions/concentrations should be determined by the end user. |
| 分 子 量 | 41kDa |
| 细胞定位 | 细胞核 细胞浆 |
| 性 状 | Liquid |
| 浓 度 | 1mg/ml |
| 免 疫 原 | KLH conjugated synthetic peptide derived from human c-fos:1-100/380 |
| 亚 型 | IgG |
| 纯化方法 | affinity purified by Protein A |
| 储 存 液 | 0.01M TBS(pH7.4) with 1% BSA, 0.03% Proclin300 and 50% Glycerol. |
| 保存条件 | Shipped at 4℃. Store at -20 °C for one year. Avoid repeated freeze/thaw cycles. |
| PubMed | PubMed |
| 产品介绍 | The Fos gene family consists of 4 members: FOS, FOSB, FOSL1, and FOSL2. These genes encode leucine zipper proteins that can dimerize with proteins of the JUN family, thereby forming the transcription factor complex AP-1. As such, the FOS proteins have been implicated as regulators of cell proliferation, differentiation, and transformation. In some cases, expression of the FOS gene has also been associated with apoptotic cell death. [provided by RefSeq, Jul 2008]. Function: Nuclear phosphoprotein which forms a tight butnon-covalently linked complex with the JUN/AP-1 transcriptionfactor. In the heterodimer, FOS and JUN/AP-1 basic regions eachseems to interact with symmetrical DNA half sites. On TGF-betaactivation, forms a multimeric SMAD3/SMAD4/JUN/FOS complex at theAP1/SMAD-binding site to regulate TGF-beta-mediated signaling. Hasa critical function in regulating the Has a critical function inregulating the development of cells destined to form and maintainthe skeleton. It is thought to have an important role in signaltransduction, cell proliferation and differentiation. Subunit: Heterodimer; with JUN (By similarity). Interacts withMAFB. Component of the SMAD3/SMAD4/JUN/FOS complexrequired for syngernistic TGF-beta-mediated transcription at theAP1 promoter site. Interacts with SMAD3; the interaction is weakeven on TGF-beta activation. Interacts with MAFB. Interacts withDSIPI; this interaction inhibits the binding of active AP1 to itstarget DNA. Subcellular Location: Nucleus. Post-translational modifications: Phosphorylated in the C-terminal upon stimulation by nervegrowth factor (NGF) and epidermal growth factor (EGF).Phosphorylated, in vitro, by MAPK and RSK1. Phosphorylation on bothSer-362 and Ser-374 by MAPK1/2 and RSK1/2 leads to proteinstabilization with phosphorylation on Ser-374 being the major sitefor protein stabilization on NGF stimulation. Phosphorylation onSer-362 and Ser-374 primes further phosphorylations on Thr-325 andThr-331 through promoting docking of MAPK to the DEF domain.Phosphorylation on Thr-232, induced by HA-RAS, activates thetranscriptional activity and antagonizes sumoylation.Phosphorylation on Ser-362 by RSK2 in osteoblasts contributes toosteoblast transformation (By similarity). [PTM] Constitutively sumoylated by SUMO1, SUMO2 and SUMO3.Desumoylated by SENP2. Sumoylation requires heterodimerization withJUN and is enhanced by mitogen stimulation. Sumoylation inhibitsthe AP-1 transcriptional activity and is, itself, inhibited byRas-activated phosphorylation on Thr-232. Similarity: Belongs to the bZIP family. Fos subfamily. Contains 1 bZIP domain. SWISS: P01100 Gene ID: 2353 Database links: Entrez Gene: 2353 Human Entrez Gene: 14281 Mouse Omim: 164810 Human SwissProt: P01100 Human SwissProt: P01101 Mouse Unigene: 246513 Mouse Unigene: 103750 Rat Important Note: This product as supplied is intended for research use only, not for use in human, therapeutic or diagnostic applications. c-fos的作用主要用于各种类型的恶性肿瘤如食管癌、鼻咽癌、乳腺癌、结肠癌以及脑病的研究。 c-fos原癌基因及其蛋白产物不仅参与细胞的正常生长、分化过程,而且也参与细胞内信息传递过程和细胞的能量代谢过程,对细胞的增生、分化、转化都有调节作用、在生命活动中起着极为基础而重要的作用。 |








