

货号
产品规格
售价
备注
BN41438M-100ul
100ul
¥2470.00
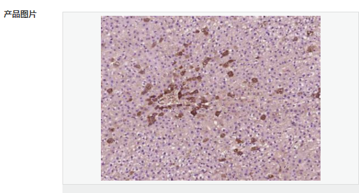
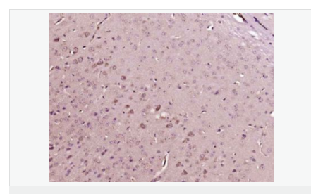
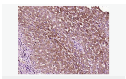
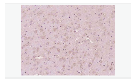
交叉反应:Human,Mouse,Rat(predicted:Phosphotyrosine) 推荐应用:IHC-P,IHC-F,ICC,IF
产品描述
| 英文名称 | Phosphotyrosine |
| 中文名称 | 磷酸化酪氨酸单克隆抗体 |
| 别 名 | Phospho-tyrosine; Phospho tyrosine; Phospho-tyr; Phospho tyr; p-Tyr; p-tyrosine; |
| 产品类型 | 药物与化合物抗体 |
| 研究领域 | 细胞生物 免疫学 药物及化合物 |
| 抗体来源 | Mouse |
| 克隆类型 | Monoclonal |
| 克 隆 号 | 4D3 |
| 交叉反应 | Human, Mouse, Rat, |
| 产品应用 | IHC-P=1:100-500 IHC-F=1:100-500 ICC=1:100-500 IF=1:100-500 (石蜡切片需做抗原修复) not yet tested in other applications. optimal dilutions/concentrations should be determined by the end user. |
| 细胞定位 | 细胞核 细胞浆 细胞膜 |
| 性 状 | Liquid |
| 浓 度 | 1mg/ml |
| 免 疫 原 | KLH conjugated Phosphotyrosine: |
| 亚 型 | IgG |
| 纯化方法 | affinity purified by Protein G |
| 储 存 液 | 0.01M TBS(pH7.4) with 1% BSA, 0.03% Proclin300 and 50% Glycerol. |
| 保存条件 | Shipped at 4℃. Store at -20 °C for one year. Avoid repeated freeze/thaw cycles. |
| PubMed | PubMed |
| 产品介绍 | The phosphorylation of specific tyrosine residues has been shown to be a primary mechanism of signal transduction during normal mitogenesis, cell cycle progression and oncogenic transformation, its role in other areas such as differentiation and gap junction communication, is a matter of active and ongoing research. Antibodies that specifically recognize phosphorylated tyrosine residues have proved to be invaluable to the study of tyrosine phosphorylated proteins and the biochemical pathways in which they function. SWISS: N/A CAS: 21820-51-9 Important Note: This product as supplied is intended for research use only, not for use in human, therapeutic or diagnostic applications. |




