

货号
产品规格
售价
备注
BN41400R-100ul
100ul
¥2360.00
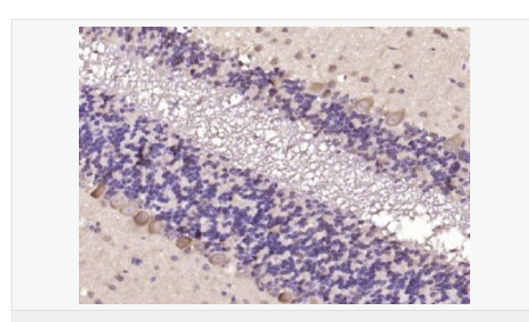
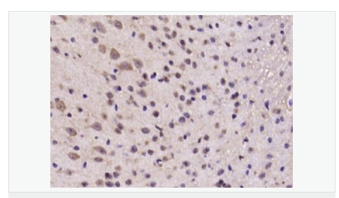
交叉反应:Mouse,Rat(predicted:Human,Dog,Pig,Cow) 推荐应用:WB,IHC-P,IHC-F,ICC,IF,ELISA
BN41400R-200ul
200ul
¥3490.00
交叉反应:Mouse,Rat(predicted:Human,Dog,Pig,Cow) 推荐应用:WB,IHC-P,IHC-F,ICC,IF,ELISA
产品描述
| 英文名称 | C20orf160 |
| 中文名称 | 20号染色体开放阅读框160抗体 |
| 别 名 | chromosome 20 open reading frame 160; dJ310O13.5; FLJ43600; hypothetical protein LOC140706; CCM2L_HUMAN. |
| 研究领域 | 细胞生物 发育生物学 神经生物学 |
| 抗体来源 | Rabbit |
| 克隆类型 | Polyclonal |
| 交叉反应 | Mouse, Rat, (predicted: Human, Dog, Pig, Cow, ) |
| 产品应用 | WB=1:500-2000 ELISA=1:5000-10000 IHC-P=1:100-500 IHC-F=1:100-500 ICC=1:100-500 IF=1:100-500 (石蜡切片需做抗原修复) not yet tested in other applications. optimal dilutions/concentrations should be determined by the end user. |
| 分 子 量 | 62kDa |
| 性 状 | Liquid |
| 浓 度 | 1mg/ml |
| 免 疫 原 | KLH conjugated synthetic peptide derived from human C20orf160:41-140/571 |
| 亚 型 | IgG |
| 纯化方法 | affinity purified by Protein A |
| 储 存 液 | 0.01M TBS(pH7.4) with 1% BSA, 0.03% Proclin300 and 50% Glycerol. |
| 保存条件 | Shipped at 4℃. Store at -20 °C for one year. Avoid repeated freeze/thaw cycles. |
| PubMed | PubMed |
| 产品介绍 | Representing about 2% of human DNA, chromosome 20 consists of approximately 63 million bases and 600 genes. Chromosome 20 contains a region with numerous genes expressed in the epididymis, which are thought important for seminal production, and some viewed as potential targets for male contraception. The PRNP gene encoding the prion protein associated with spongiform encephalopathies, like Creutzfeldt-Jakob disease, is found on chromosome 20. Amyotrophic lateral sclerosis, spinal muscular atrophy, ring chromosome 20 epilepsy syndrome and Alagille syndrome are also associated with chromosome 20. The C20orf160 gene product has been provisionally designated C20orf160 pending further characterization. Similarity: Belongs to the CCM2 family. SWISS: Q9NUG4 Gene ID: 140706 Database links: Entrez Gene: 140706 Human SwissProt: Q9NUG4 Human SwissProt: Q8VCC6 Mouse Important Note: This product as supplied is intended for research use only, not for use in human, therapeutic or diagnostic applications |


