

货号
产品规格
售价
备注
BN41375R-100ul
100ul
¥2470.00
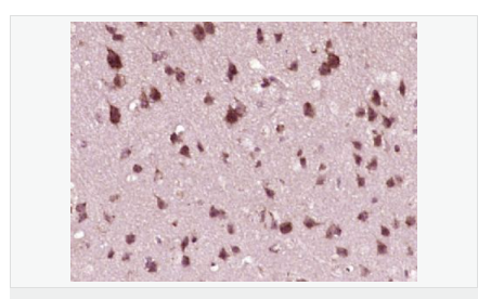
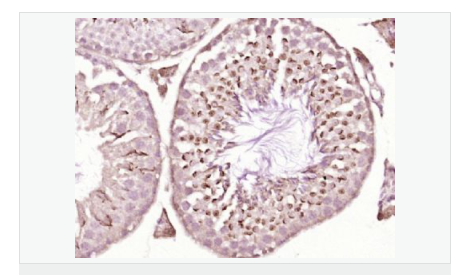
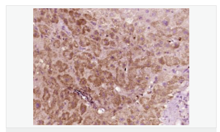
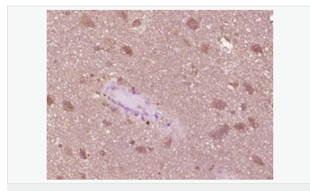
交叉反应:Human,Mouse(predicted:Rat,Dog,Pig,Cow,Rabbit) 推荐应用:WB,IHC-P,IHC-F,ICC,IF,Flow-Cyt,ELISA
产品描述
| 英文名称 | phospho-IRF3 (Ser386) |
| 中文名称 | 磷酸化干扰素调节因子3抗体 |
| 别 名 | IRF3 (phospho S386); IRF3 (phospho Ser386); p-IRF3 (Ser386); p-IRF3 (S386); Interferon regulatory factor 3; IRF 3; IRF-3; IRF3; IRF3_HUMAN; MGC94729. |
| 产品类型 | 磷酸化抗体 |
| 研究领域 | 肿瘤 细胞生物 细胞凋亡 转录调节因子 表观遗传学 |
| 抗体来源 | Rabbit |
| 克隆类型 | Polyclonal |
| 交叉反应 | Human, Mouse, (predicted: Rat, Dog, Pig, Cow, Rabbit, ) |
| 产品应用 | WB=1:500-2000 ELISA=1:5000-10000 IHC-P=1:100-500 IHC-F=1:100-500 Flow-Cyt=1ug/test ICC=1:100-500 IF=1:50-200 (石蜡切片需做抗原修复) not yet tested in other applications. optimal dilutions/concentrations should be determined by the end user. |
| 分 子 量 | 47kDa |
| 细胞定位 | 细胞核 细胞浆 |
| 性 状 | Liquid |
| 浓 度 | 1mg/ml |
| 免 疫 原 | KLH conjugated synthesised phosphopeptide derived from human IRF3 around the phosphorylation site of Ser386:S(p-S)LE |
| 亚 型 | IgG |
| 纯化方法 | affinity purified by Protein A |
| 储 存 液 | 0.01M TBS(pH7.4) with 1% BSA, 0.03% Proclin300 and 50% Glycerol. |
| 保存条件 | Shipped at 4℃. Store at -20 °C for one year. Avoid repeated freeze/thaw cycles. |
| PubMed | PubMed |
| 产品介绍 | This gene encodes a member of the interferon regulatory transcription factor (IRF) family. The encoded protein is found in an inactive cytoplasmic form that upon serine/threonine phosphorylation forms a complex with CREBBP. This complex translocates to the nucleus and activates the transcription of interferons alpha and beta, as well as other interferon-induced genes. Alternatively spliced transcript variants encoding multiple isoforms have been observed for this gene. [provided by RefSeq, Nov 2011]. Function: Key transcriptional regulator of type I interferon (IFN)-dependent immune responses and plays a critical role in the innate immune response against DNA and RNA viruses. Regulates the transcription of type I IFN genes (IFN-alpha and IFN-beta) and IFN-stimulated genes (ISG) by binding to an interferon-stimulated response element (ISRE) in their promoters. Acts as a more potent activator of the IFN-beta (IFNB) gene than the IFN-alpha (IFNA) gene and plays a critical role in both the early and late phases of the IFNA/B gene induction. Found in an inactive form in the cytoplasm of uninfected cells and following viral infection, double-stranded RNA (dsRNA), or toll-like receptor (TLR) signaling, becomes phosphorylated by IKBKE and TBK1 kinases. This induces a conformational change, leading to its dimerization and nuclear localization and association with CREB binding protein (CREBBP) to form dsRNA-activated factor 1 (DRAF1), a complex which activates the transcription of the type I IFN and ISG genes. Can activate distinct gene expression programs in macrophages and can induce significant apoptosis in primary macrophages. Subunit: Monomer. Homodimer; phosphorylation-induced. Heterodimer with IRF7. Interacts with CREBBP. May interact with MAVS. Interacts with IKBKE and TBK1. Interacts with TICAM1 and TICAM2. Interacts with rotavirus A NSP1 (via C-terminus); this interaction leads to the proteasome-dependent degradation of IRF3. Interacts with RBCK1. Interacts with TRIM21. Interacts with HERC5. Subcellular Location: Cytoplasm. Nucleus. Note=Shuttles between cytoplasmic and nuclear compartments, with export being the prevailing effect. When activated, IRF3 interaction with CREBBP prevents its export to the cytoplasm. Tissue Specificity: Expressed constitutively in a variety of tissues. Post-translational modifications: Constitutively phosphorylated on many serines residues. C-terminal serine/threonine cluster is phosphorylated in response of induction by IKBKE and TBK1. Ser-385 and Ser-386 may be specifically phosphorylated in response to induction. An alternate model propose that the five serine/threonine residues between 396 and 405 are phosphorylated in response to a viral infection. Phosphorylation, and subsequent activation of IRF3 is inhibited by vaccinia virus protein E3. Ubiquitinated; ubiquitination involves RBCK1 leading to proteasomal degradation. Polyubiquitinated; ubiquitination involves TRIM21 leading to proteasomal degradation. ISGylated by HERC5 resulting in sustained IRF3 activation and in the inhibition of IRF3 ubiquitination by disrupting PIN1 binding. The phosphorylation state of IRF3 does not alter ISGylation. Similarity: Belongs to the IRF family. Contains 1 IRF tryptophan pentad repeat DNA-binding domain. SWISS: Q14653 Gene ID: 3661 Database links: Entrez Gene: 3661 Human Entrez Gene: 54131 Mouse Omim: 603734 Human SwissProt: Q14653 Human SwissProt: P70671 Mouse Unigene: 289052 Human Unigene: 75254 Human Unigene: 3960 Mouse Important Note: This product as supplied is intended for research use only, not for use in human, therapeutic or diagnostic applications. 干扰素调节因子家族是一大类对干扰素起调控作用的转录因子的统称。 一般认为干扰素调节因子(IRF)通过调节干扰素的表达而行使其抗病毒、应激、免疫调节功能。近年来,研究人员发现IRF在细胞凋亡、细胞周期、细胞分化、肿瘤发生中也起着重要的调节作用。 |





