

货号
产品规格
售价
备注
BN41368R-100ul
100ul
¥2360.00
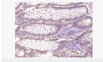
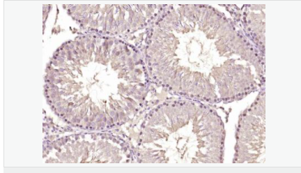
交叉反应:Human,Mouse,Rat(predicted:Pig,Cow,Sheep) 推荐应用:IHC-P,IHC-F,IF,ELISA
BN41368R-200ul
200ul
¥3490.00
交叉反应:Human,Mouse,Rat(predicted:Pig,Cow,Sheep) 推荐应用:IHC-P,IHC-F,IF,ELISA
产品描述
| 英文名称 | MLF1/MLF2 |
| 中文名称 | 髓细胞性白血病蛋白1抗体 |
| 别 名 | Hls7; MLF1; MLF2; MLF3; MLF1_HUMAN; Myelodysplasia myeloid leukemia factor 1; Myelodysplasia-myeloid leukemia factor 1; Myeloid leukemia factor 1; myeloid leukemia factor 1 variant 1; myeloid leukemia factor 1 variant 2; myeloid leukemia factor 1 variant 3. |
| 研究领域 | 肿瘤 心血管 细胞生物 免疫学 染色质和核信号 信号转导 干细胞 细胞周期蛋白 细胞分化 细胞类型标志物 |
| 抗体来源 | Rabbit |
| 克隆类型 | Polyclonal |
| 交叉反应 | Human, Mouse, Rat, (predicted: Pig, Cow, Sheep, ) |
| 产品应用 | ELISA=1:5000-10000 IHC-P=1:100-500 IHC-F=1:100-500 IF=1:50-200 (石蜡切片需做抗原修复) not yet tested in other applications. optimal dilutions/concentrations should be determined by the end user. |
| 分 子 量 | 31kDa |
| 细胞定位 | 细胞核 细胞浆 |
| 性 状 | Liquid |
| 浓 度 | 1mg/ml |
| 免 疫 原 | KLH conjugated synthetic peptide derived from human MLF1/2/3:165-268/268 |
| 亚 型 | IgG |
| 纯化方法 | affinity purified by Protein A |
| 储 存 液 | 0.01M TBS(pH7.4) with 1% BSA, 0.03% Proclin300 and 50% Glycerol. |
| 保存条件 | Shipped at 4℃. Store at -20 °C for one year. Avoid repeated freeze/thaw cycles. |
| PubMed | PubMed |
| 产品介绍 | Involved in lineage commitment of primary hemopoietic progenitors by restricting erythroid formation and enhancing myeloid formation. Interferes with erythropoietin-induced erythroid terminal differentiation by preventing cells from exiting the cell cycle through suppression of CDKN1B/p27Kip1 levels. Suppresses RFWD2/COP1 activity via CSN3 which activates p53 and induces cell cycle arrest. Binds DNA and affects the expression of a number of genes so may function as a transcription factor in the nucleus. Function: Involved in lineage commitment of primary hemopoietic progenitors by restricting erythroid formation and enhancing myeloid formation. Interferes with erythropoietin-induced erythroid terminal differentiation by preventing cells from exiting the cell cycle through suppression of CDKN1B/p27Kip1 levels. Suppresses RFWD2/COP1 activity via CSN3 which activates p53 and induces cell cycle arrest. Binds DNA and affects the expression of a number of genes so may function as a transcription factor in the nucleus. Subunit: Interacts with MLF1IP. Also interacts with NRBP1/MADM, YWHAZ/14-3-3-zeta and HNRPUL2/MANP. NRBP1 recruits a serine kinase which phosphorylates both itself and MLF1. Phosphorylated MLF1 then binds to YWHAZ and is retained in the cytoplasm. Retained in the nucleus by binding to HNRPUL2. Binds to COPS3/CSN3 which is required for suppression of RFWD2 and activation of p53. Subcellular Location: Cytoplasm. Nucleus. In non-hematopoietic cells, resides primarily in the cytoplasm with some punctate nuclear localization. Shuttles between the cytoplasm and nucleus. In hematopoietic cells, located preferentially in the nucleus. Found in the nucleolus when fused to NPM. Tissue Specificity: Most abundant in testis, ovary, skeletal muscle, heart, kidney and colon. Low expression in spleen, thymus and peripheral blood leukocytes. Post-translational modifications: Phosphorylation is required for binding to YWHAZ (By similarity). DISEASE: Note=A chromosomal aberration involving MLF1 is a cause of myelodysplastic syndrome (MDS). Translocation t(3;5)(q25.1;q34) with NPM1/NPM. Similarity: Belongs to the MLF family. SWISS: Q71F23 Gene ID: 79682 Database links: Entrez Gene: 79682 Human Entrez Gene: 71876 Mouse Omim: 611511 Human SwissProt: Q71F23 Human SwissProt: Q8C4M7 Mouse Unigene: 575032 Human Unigene: 217385 Mouse Unigene: 22108 Mouse Unigene: 128609 Rat Important Note: This product as supplied is intended for research use only, not for use in human, therapeutic or diagnostic applications |


