

货号
产品规格
售价
备注
BN41277R-100ul
100ul
¥2360.00
交叉反应:Human,Rat(predicted:Mouse,Dog,Pig,Cow,Horse,Rabbit) 推荐应用:WB,IHC-P,IHC-F,IF,ELISA
BN41277R-200ul
200ul
¥3490.00
交叉反应:Human,Rat(predicted:Mouse,Dog,Pig,Cow,Horse,Rabbit) 推荐应用:WB,IHC-P,IHC-F,IF,ELISA
产品描述
| 英文名称 | NUDC |
| 中文名称 | 细胞核分离基因C蛋白抗体 |
| 别 名 | HNUDC; MNUDC; MNUDC protein; NPD011; Nuclear distribution gene C (A.nidulans) homolog; Nuclear distribution gene C homolog; Nuclear distribution gene C homolog (A. nidulans); Nuclear distribution protein C homolog; Nuclear migration protein nudC; nudC; NUDC_HUMAN; OTTHUMP00000004405; SIG 92; SIG92. |
| 研究领域 | 肿瘤 细胞生物 神经生物学 细胞周期蛋白 细胞分化 表观遗传学 |
| 抗体来源 | Rabbit |
| 克隆类型 | Polyclonal |
| 交叉反应 | Human, Rat, (predicted: Mouse, Dog, Pig, Cow, Horse, Rabbit, ) |
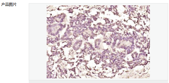
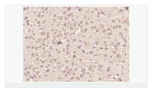
| 产品应用 | WB=1:500-2000 ELISA=1:5000-10000 IHC-P=1:100-500 IHC-F=1:100-500 IF=1:100-500 (石蜡切片需做抗原修复) not yet tested in other applications. optimal dilutions/concentrations should be determined by the end user. |
| 分 子 量 | 36kDa |
| 细胞定位 | 细胞核 细胞浆 |
| 性 状 | Liquid |
| 浓 度 | 1mg/ml |
| 免 疫 原 | KLH conjugated synthetic peptide derived from human NUDC:271-331/331 |
| 亚 型 | IgG |
| 纯化方法 | affinity purified by Protein A |
| 储 存 液 | 0.01M TBS(pH7.4) with 1% BSA, 0.03% Proclin300 and 50% Glycerol. |
| 保存条件 | Shipped at 4℃. Store at -20 °C for one year. Avoid repeated freeze/thaw cycles. |
| PubMed | PubMed |
| 产品介绍 | This gene encodes a nuclear distribution protein that plays an essential role in mitosis and cytokinesis. The encoded protein is involved in spindle formation during mitosis and in microtubule organization during cytokinesis. Pseudogenes of this gene are found on chromosome 2. [provided by RefSeq, Feb 2012]. Function: Plays a role in neurogenesis and neuronal migration (By similarity). Necessary for correct formation of mitotic spindles and chromosome separation during mitosis. Necessary for cytokinesis and cell proliferation. Subunit: Binds PLK1. Binds PAFAH1B1 (By similarity). Part of a complex containing PLK1, NUDC, dynein and dynactin. Subcellular Location: Cytoplasm, cytoskeleton. Nucleus. Note=In a filamentous pattern adjacent to the nucleus of migrating cerebellar granule cells. Colocalizes with tubulin and dynein and with the microtubule organizing center. Distributed throughout the cytoplasm of non-migrating cells. A small proportion is nuclear, in a punctate pattern. Tissue Specificity: Ubiquitous. Highly expressed in fetal liver, kidney, lung and brain. Highly expressed in adult pancreas, kidney, skeletal muscle, liver, lung, placenta, prostate, brain and heart. Post-translational modifications: Reversibly phosphorylated on serine residues during the M phase of the cell cycle. Phosphorylation on Ser-274 and Ser-326 is necessary for correct formation of mitotic spindles and chromosome separation during mitosis. Phosphorylated by PLK and other kinases. Similarity: Belongs to the nudC family. Contains 1 CS domain. SWISS: Q9Y266 Gene ID: 10726 Database links: NCBI Reference Sequence: NP_006591.1 UniProtKB/Swiss-Prot: Q9Y266.1 Important Note: This product as supplied is intended for research use only, not for use in human, therapeutic or diagnostic applications. |

