

货号
产品规格
售价
备注
BN41270R-100ul
100ul
¥2360.00
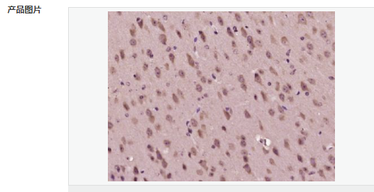
交叉反应:Human,Mouse(predicted:Rat,Pig,Cow,Horse,Rabbit) 推荐应用:WB,IHC-P,IHC-F,IF,ELISA
BN41270R-200ul
200ul
¥3490.00
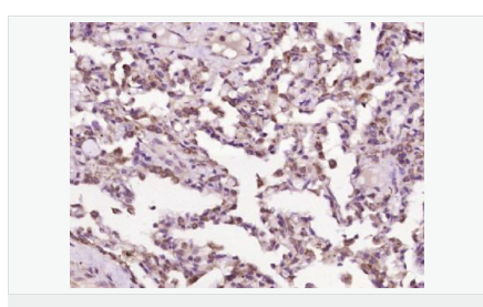
交叉反应:Human,Mouse(predicted:Rat,Pig,Cow,Horse,Rabbit) 推荐应用:WB,IHC-P,IHC-F,IF,ELISA
产品描述
| 英文名称 | MSF/Cell division control protein septin D1 |
| 中文名称 | 细胞周期调控蛋白D1抗体 |
| 别 名 | Cell division control protein septin D1; KIAA0991; MLL septin like fusion protein; MLL septin-like fusion protein; MLL septin-like fusion protein MSF-A; MSF; MSF1; Ov/Br septin; Ovarian/breast septin alpha; Ovarian/Breast septin; PNUTL4; SEPT9; SEPT9_HUMAN; Septin 9; Septin D1; Septin-9; SINT1; AF17q25. |
| 研究领域 | 细胞生物 细胞周期蛋白 细胞分化 |
| 抗体来源 | Rabbit |
| 克隆类型 | Polyclonal |
| 交叉反应 | Human, Mouse, (predicted: Rat, Pig, Cow, Horse, Rabbit, ) |
| 产品应用 | WB=1:500-2000 ELISA=1:5000-10000 IHC-P=1:100-500 IHC-F=1:100-500 IF=1:100-500 (石蜡切片需做抗原修复) not yet tested in other applications. optimal dilutions/concentrations should be determined by the end user. |
| 分 子 量 | 65kDa |
| 细胞定位 | 细胞浆 |
| 性 状 | Liquid |
| 浓 度 | 1mg/ml |
| 免 疫 原 | KLH conjugated synthetic peptide derived from human MSF/Cell division control protein septin D1:351-450/586 |
| 亚 型 | IgG |
| 纯化方法 | affinity purified by Protein A |
| 储 存 液 | 0.01M TBS(pH7.4) with 1% BSA, 0.03% Proclin300 and 50% Glycerol. |
| 保存条件 | Shipped at 4℃. Store at -20 °C for one year. Avoid repeated freeze/thaw cycles. |
| PubMed | PubMed |
| 产品介绍 | Filament-forming cytoskeletal GTPase (By similarity). May play a role in cytokinesis (Potential). May play a role in the internalization of 2 intracellular microbial pathogens, Listeria monocytogenes and Shigella flexneri. Tissue specificity: Widely expressed. Isoforms are differentially expressed in testes, kidney, liver heart, spleen, brain, peripheral blood leukocytes, skeletal muscle and kidney. Specific isoforms appear to demonstrate tissue specificity. Isoform 5 is the most highly expressed in fetal tissue. Isoform 1 is detected in all tissues except the brain and thymus, while isoform 2, isoform 3, and isoform 4 are detected at low levels in approximately half of the fetal tissues. Function: Filament-forming cytoskeletal GTPase (By similarity). May play a role in cytokinesis (Potential). May play a role in the internalization of 2 intracellular microbial pathogens, Listeria monocytogenes and Shigella flexneri. Subunit: Septins polymerize into heterooligomeric protein complexes that form filaments, and associate with cellular membranes, actin filaments, and microtubules. GTPase activity is required for filament formation. Interacts with SEPT2, SEPT6, SEPT7, SEPT11 and SEPT14. Interacts with RTKN and ARHGEF18. In a mesenchymal cell line, Rho/RTKN signals cause disruption of wild-type septin filaments, but not of those containing isoform 2 variants HNA Trp-106 and Phe-111. In a mesenchymal cell line, isoform 2 variants HNA Trp-106 and Phe-111, but not wild type, form filaments with SEPT4. Subcellular Location: Cytoplasm, cytoskeleton. Note=In an epithelial cell line, concentrates at cell-cell contact areas. After TGF-beta1 treatment and induction of epithelial to mesenchymal transition, colocalizes partly with actin stress fibers. During bacterial infection, displays a collar shape structure next to actin at the pole of invading bacteria. Tissue Specificity: Widely expressed. Isoforms are differentially expressed in testes, kidney, liver heart, spleen, brain, peripheral blood leukocytes, skeletal muscle and kidney. Specific isoforms appear to demonstrate tissue specificity. Isoform 5 is the most highly expressed in fetal tissue. Isoform 1 is detected in all tissues except the brain and thymus, while isoform 2, isoform 3, and isoform 4 are detected at low levels in approximately half of the fetal tissues. DISEASE: Note=A chromosomal aberration involving SEPT9/MSF is found in therapy-related acute myeloid leukemia (t-AML). Translocation t(11;17)(q23;q25) with MLL. Defects in SEPT9 are a cause of hereditary neuralgic amyotrophy (HNA) [MIM:162100]; also known as neuritis with brachial predilection (NAPB) or hereditary brachial plexus neuropathy or hereditary neuralgic amyotrophy with predilection for brachial plexus. HNA is an autosomal dominant form of recurrent focal neuropathy characterized clinically by acute, recurrent episodes of brachial plexus neuropathy with muscle weakness and atrophy preceded by severe pain in the affected arm. HNA is triggered by environmental factors such as infection or parturition. Similarity: Belongs to the septin family. SWISS: Q9UHD8 Gene ID: 10801 Database links: Entrez Gene: 10801 Human Entrez Gene: 53860 Mouse Omim: 604061 Human SwissProt: Q9UHD8 Human SwissProt: Q80UG5 Mouse Unigene: 440932 Human Unigene: 38450 Mouse Unigene: 451420 Mouse Unigene: 91127 Rat Important Note: This product as supplied is intended for research use only, not for use in human, therapeutic or diagnostic applications. |

