

货号
产品规格
售价
备注
BN41267R-100ul
100ul
¥2360.00
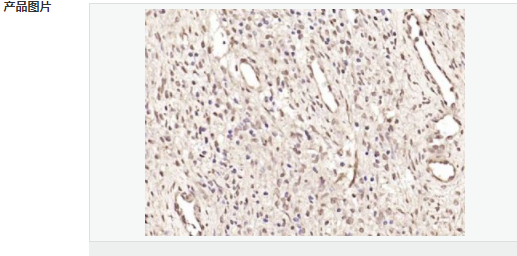
交叉反应:Human,Rat(predicted:Mouse,Dog,Rabbit) 推荐应用:WB,IHC-P,IHC-F,IF,ELISA
BN41267R-200ul
200ul
¥3490.00
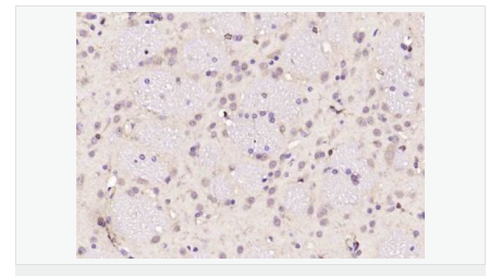
交叉反应:Human,Rat(predicted:Mouse,Dog,Rabbit) 推荐应用:WB,IHC-P,IHC-F,IF,ELISA
产品描述
| 英文名称 | SMC5 |
| 中文名称 | 染色体结构维持蛋白5抗体 |
| 别 名 | hSMC 5; hSMC5; SMC 5 SMC 5 structural maintenance of chromosomes 5 like 1 SMC5 L1 SMC5 protein SMC5 structural maintenance of chromosomes 5 like 1 SMC5L1 Structural maintenance of chromosomes 5 like 1 Structural maintenance of chromosomes protein 5; SMC5_HUMAN. |
| 研究领域 | 细胞生物 细胞周期蛋白 细胞分化 表观遗传学 |
| 抗体来源 | Rabbit |
| 克隆类型 | Polyclonal |
| 交叉反应 | Human, Rat, (predicted: Mouse, Dog, Rabbit, ) |
| 产品应用 | WB=1:500-2000 ELISA=1:5000-10000 IHC-P=1:100-500 IHC-F=1:100-500 IF=1:100-500 (石蜡切片需做抗原修复) not yet tested in other applications. optimal dilutions/concentrations should be determined by the end user. |
| 分 子 量 | 145kDa |
| 细胞定位 | 细胞核 |
| 性 状 | Liquid |
| 浓 度 | 1mg/ml |
| 免 疫 原 | KLH conjugated synthetic peptide derived from human SMC5:251-350/1101 |
| 亚 型 | IgG |
| 纯化方法 | affinity purified by Protein A |
| 储 存 液 | 0.01M TBS(pH7.4) with 1% BSA, 0.03% Proclin300 and 50% Glycerol. |
| 保存条件 | Shipped at 4℃. Store at -20 °C for one year. Avoid repeated freeze/thaw cycles. |
| PubMed | PubMed |
| 产品介绍 | Structural Maintenance of Chromosomes (SMC) family proteins play critical roles in various nuclear events that require structural changes of chromosomes, including mitotic chromosome organization, DNA recombination and repair and global transcriptional repression. The chromosome proteins are conserved in eukaryotes lead to mitotic chromosome segregation defects, suggesting a critical function of SMC family proteins in mitotic chromosome dynamics. Function: Core component of the SMC5-SMC6 complex, a complex involved in repair of DNA double-strand breaks by homologous recombination. The complex may promote sister chromatid homologous recombination by recruiting the SMC1-SMC3 cohesin complex to double-strand breaks. The complex is required for telomere maintenance via recombination in ALT (alternative lengthening of telomeres) cell lines and mediates sumoylation of shelterin complex (telosome) components which is proposed to lead to shelterin complex disassembly in ALT-associated PML bodies (APBs). Required for recruitment of telomeres to PML nuclear bodies. Required for sister chromatid cohesion during prometaphase and mitotic progression; the function seems to be independent of SMC6. Subunit: Forms a heterodimer with SMC6. Component of the SMC5-SMC6 complex which consists at least of SMC5, SMC6, NSMCE2, NSMCE1, NSMCE4A or EID3 and NDNL2. Subcellular Location: Nucleus. Chromosome. Chromosome, telomere. Note=Associates with chromatin. Localizes to PML nuclear bodies in ALT cell lines. Tissue Specificity: Widely expressed. Post-translational modifications: Ubiquitinated. Similarity: Belongs to the SMC family. SMC5 subfamily. SWISS: Q8IY18 Gene ID: 23137 Database links: UniProtKB/Swiss-Prot: Q8IY18.2 Important Note: This product as supplied is intended for research use only, not for use in human, therapeutic or diagnostic applications. |

