

货号
产品规格
售价
备注
BN41199R-100ul
100ul
¥2360.00
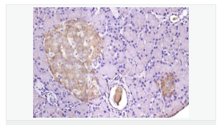
交叉反应:Mouse,Rat(predicted:Human,Pig,Cow,Horse,Rabbit,Sheep) 推荐应用:WB,IHC-P,IHC-F,IF,ELISA
BN41199R-200ul
200ul
¥3490.00
交叉反应:Mouse,Rat(predicted:Human,Pig,Cow,Horse,Rabbit,Sheep) 推荐应用:WB,IHC-P,IHC-F,IF,ELISA
产品描述
| 英文名称 | TMED4 |
| 中文名称 | 跨膜蛋白TMED4抗体 |
| 别 名 | HNLF; Transmembrane emp24 domain containing protein 4; TMED4_HUMAN. |
| 研究领域 | 肿瘤 染色质和核信号 信号转导 转录调节因子 |
| 抗体来源 | Rabbit |
| 克隆类型 | Polyclonal |
| 交叉反应 | Mouse, Rat, (predicted: Human, Pig, Cow, Horse, Rabbit, Sheep, ) |
| 产品应用 | WB=1:500-2000 ELISA=1:5000-10000 IHC-P=1:100-500 IHC-F=1:100-500 IF=1:100-500 (石蜡切片需做抗原修复) not yet tested in other applications. optimal dilutions/concentrations should be determined by the end user. |
| 分 子 量 | 23kDa |
| 细胞定位 | 细胞浆 细胞膜 |
| 性 状 | Liquid |
| 浓 度 | 1mg/ml |
| 免 疫 原 | KLH conjugated synthetic peptide derived from human TMED4:41-140/227 |
| 亚 型 | IgG |
| 纯化方法 | affinity purified by Protein A |
| 储 存 液 | 0.01M TBS(pH7.4) with 1% BSA, 0.03% Proclin300 and 50% Glycerol. |
| 保存条件 | Shipped at 4℃. Store at -20 °C for one year. Avoid repeated freeze/thaw cycles. |
| PubMed | PubMed |
| 产品介绍 | TMED4 is a putative NF-kB activating protein belonging to the EMP24/GP25L family, and contains 1 GOLD domain. It is also known as Transmembrane emp24 protein transport domain containing 4. Function: Involved in vesicular protein trafficking, mainly in the early secretory pathway. targeting. Involved in the maintenance of the Golgi apparatus. Appears to play a role in the biosynthesis of secreted cargo including processing. Involved in endoplasmic reticulum stress response. May play a role in the regulation of heat-shock response and apoptosis Subcellular Location: Endoplasmic reticulum membrane; Single-pass type I membrane protein Similarity: Belongs to the EMP24/GP25L family. Contains 1 GOLD domain. SWISS: Q7Z7H5 Gene ID: 222068 Database links: Entrez Gene: 222068 Human Entrez Gene: 103694 Mouse Omim: 612038 Human SwissProt: Q7Z7H5 Human SwissProt: Q8R1V4 Mouse Unigene: 598832 Human Unigene: 715273 Human Unigene: 254495 Mouse Important Note: This product as supplied is intended for research use only, not for use in human, therapeutic or diagnostic applications. |

