

货号
产品规格
售价
备注
BN41012R-100ul
100ul
¥2360.00
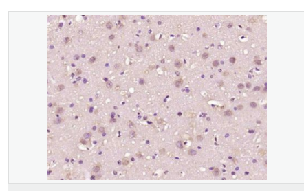
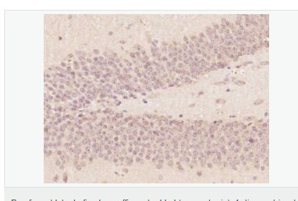
交叉反应:Human,Mouse,Rat(predicted:Dog,Pig,Cow,Horse,Rabbit) 推荐应用:WB,IHC-P,IHC-F,ICC,IF
BN41012R-200ul
200ul
¥3490.00
交叉反应:Human,Mouse,Rat(predicted:Dog,Pig,Cow,Horse,Rabbit) 推荐应用:WB,IHC-P,IHC-F,ICC,IF
产品描述
| 英文名称 | ZNF775 |
| 中文名称 | 锌指蛋白775抗体 |
| 别 名 | Zinc finger protein 775; 775_HUMAN. |
| 研究领域 | 转录调节因子 锌指蛋白 表观遗传学 |
| 抗体来源 | Rabbit |
| 克隆类型 | Polyclonal |
| 交叉反应 | Human, Mouse, Rat, (predicted: Dog, Pig, Cow, Horse, Rabbit, ) |
| 产品应用 | WB=1:500-2000 IHC-P=1:100-500 IHC-F=1:100-500 ICC=1:100-500 IF=1:100-500 (石蜡切片需做抗原修复) not yet tested in other applications. optimal dilutions/concentrations should be determined by the end user. |
| 分 子 量 | 60kDa |
| 细胞定位 | 细胞核 |
| 性 状 | Liquid |
| 浓 度 | 1mg/ml |
| 免 疫 原 | KLH conjugated synthetic peptide derived from human ZNF775:61-160/537 |
| 亚 型 | IgG |
| 纯化方法 | affinity purified by Protein A |
| 储 存 液 | Preservative: 15mM Sodium Azide, Constituents: 1% BSA, 0.01M PBS, pH 7.4 |
| 保存条件 | Shipped at 4℃. Store at -20 °C for one year. Avoid repeated freeze/thaw cycles. |
| PubMed | PubMed |
| 产品介绍 | ZNF775 belongs to the krueppel C2H2 type zinc finger protein family. It contains 11 C2H2 type zinc fingers. ZNF775 may be involved in transcriptional regulation. Subcellular Location: Nuclear. SWISS: Q96BV0 Gene ID: 285971 Database links: Entrez Gene: 285971 Human SwissProt: Q96BV0 Human SwissProt: Q8BI73 Mouse Important Note: This product as supplied is intended for research use only, not for use in human, therapeutic or diagnostic applications. |


