

货号
产品规格
售价
备注
BN40967R-100ul
100ul
¥2360.00
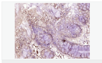
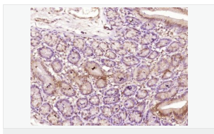
交叉反应:Human,Rat(predicted:Mouse,Dog,Pig,Cow,Rabbit,Sheep) 推荐应用:WB,IHC-P,IHC-F,IF,ELISA
BN40967R-200ul
200ul
¥3490.00
交叉反应:Human,Rat(predicted:Mouse,Dog,Pig,Cow,Rabbit,Sheep) 推荐应用:WB,IHC-P,IHC-F,IF,ELISA
产品描述
| 英文名称 | MSH6 |
| 中文名称 | 错配修复蛋白6抗体 |
| 别 名 | DNA mismatch repair protein MSH6; G/T mismatch binding protein; GTBP; GTMBP; HNPCC 5; HNPCC5; HSAP; MSH 6; mutS (E. coli) homolog 6; MutS alpha 160 kDa subunit; mutS homolog 6; p160; Sperm associated protein; MSH6_HUMAN; MutS Protein Homolog 6. |
| 研究领域 | 肿瘤 免疫学 转录调节因子 |
| 抗体来源 | Rabbit |
| 克隆类型 | Polyclonal |
| 交叉反应 | Human, Rat, (predicted: Mouse, Dog, Pig, Cow, Rabbit, Sheep, ) |
| 产品应用 | WB=1:500-2000 ELISA=1:5000-10000 IHC-P=1:100-500 IHC-F=1:100-500 IF=1:100-500 (石蜡切片需做抗原修复) not yet tested in other applications. optimal dilutions/concentrations should be determined by the end user. |
| 分 子 量 | 153kDa |
| 细胞定位 | 细胞核 |
| 性 状 | Liquid |
| 浓 度 | 1mg/ml |
| 免 疫 原 | KLH conjugated synthetic peptide derived from human MSH6:812-910/1360 |
| 亚 型 | IgG |
| 纯化方法 | affinity purified by Protein A |
| 储 存 液 | 0.01M TBS(pH7.4) with 1% BSA, 0.03% Proclin300 and 50% Glycerol. |
| 保存条件 | Shipped at 4℃. Store at -20 °C for one year. Avoid repeated freeze/thaw cycles. |
| PubMed | PubMed |
| 产品介绍 | Defects in MSH6 are a cause of hereditary non-polyposis colorectal cancer (HNPCC) (Lynch syndrome). HNPCC is an autosomal, dominantly inherited disease associated with marked increase in cancer susceptibility. It is characterized by a familial predisposition to early onset colorectal carcinoma (crc) and extra-colonic cancers of the gastrointestinal, urological and female reproductive tracts. HNPCC is reported to be the most common form of inherited colorectal cancer in the western world. MSH6 is central to mismatch DNA repair. Function: Component of the post-replicative DNA mismatch repair system (MMR). Heterodimerizes with MSH2 to form MutS alpha, which binds to DNA mismatches thereby initiating DNA repair. When bound, MutS alpha bends the DNA helix and shields approximately 20 base pairs, and recognizes single base mismatches and dinucleotide insertion-deletion loops (IDL) in the DNA. After mismatch binding, forms a ternary complex with the MutL alpha heterodimer, which is thought to be responsible for directing the downstream MMR events, including strand discrimination, excision, and resynthesis. ATP binding and hydrolysis play a pivotal role in mismatch repair functions. The ATPase activity associated with MutS alpha regulates binding similar to a molecular switch: mismatched DNA provokes ADP-->ATP exchange, resulting in a discernible conformational transition that converts MutS alpha into a sliding clamp capable of hydrolysis-independent diffusion along the DNA backbone. This transition is crucial for mismatch repair. MutS alpha may also play a role in DNA homologous recombination repair. Subunit: Heterodimer consisting of MSH2-MSH6 (MutS alpha). Forms a ternary complex with MutL alpha (MLH1-PMS1). Interacts with EXO1. Part of the BRCA1-associated genome surveillance complex (BASC), which contains BRCA1, MSH2, MSH6, MLH1, ATM, BLM, PMS2 and the RAD50-MRE11-NBS1 protein complex. This association could be a dynamic process changing throughout the cell cycle and within subnuclear domains. Interacts with ATR. Subcellular Location: Nucleus. Post-translational modifications: The N-terminus is blocked. Phosphorylated upon DNA damage, probably by ATM or ATR. Phosphorylated by PRKCZ, which may prevent MutS alpha degradation by the ubiquitin-proteasome pathway. DISEASE: Defects in MSH6 are the cause of hereditary non-polyposis colorectal cancer type 5 (HNPCC5) [MIM:600678]. Mutations in more than one gene locus can be involved alone or in combination in the production of the HNPCC phenotype (also called Lynch syndrome). Most families with clinically recognized HNPCC have mutations in either MLH1 or MSH2 genes. HNPCC is an autosomal, dominantly inherited disease associated with marked increase in cancer susceptibility. It is characterized by a familial predisposition to early onset colorectal carcinoma (CRC) and extra-colonic cancers of the gastrointestinal, urological and female reproductive tracts. HNPCC is reported to be the most common form of inherited colorectal cancer in the Western world. Cancers in HNPCC originate within benign neoplastic polyps termed adenomas. Clinically, HNPCC is often divided into two subgroups. Type I: hereditary predisposition to colorectal cancer, a young age of onset, and carcinoma observed in the proximal colon. Type II: patients have an increased risk for cancers in certain tissues such as the uterus, ovary, breast, stomach, small intestine, skin, and larynx in addition to the colon. Diagnosis of classical HNPCC is based on the Amsterdam criteria: 3 or more relatives affected by colorectal cancer, one a first degree relative of the other two; 2 or more generation affected; 1 or more colorectal cancers presenting before 50 years of age; exclusion of hereditary polyposis syndromes. MSH6 mutations appear to be associated with atypical HNPCC and in particular with development of endometrial carcinoma or atypical endometrial hyperplasia, the presumed precursor of endometrial cancer. Defects in MSH6 are also found in familial colorectal cancers (suspected or incomplete HNPCC) that do not fulfill the Amsterdam criteria for HNPCC. Similarity: Belongs to the DNA mismatch repair MutS family. Contains 1 PWWP domain. SWISS: P52701 Gene ID: 2956 Database links: Entrez Gene: 2956 Human Entrez Gene: 17688 Mouse Omim: 600678 Human SwissProt: P52701 Human SwissProt: P54276 Mouse Unigene: 445052 Human Unigene: 18210 Mouse Important Note: This product as supplied is intended for research use only, not for use in human, therapeutic or diagnostic applications. MSH6是DNA错配修复系统的基因组成之一。DNA错配修复系统由hMLH1,hMSH2,hPMS1,hPMS2,hMSH6和hMSH3等基因组成,这套系统的存在,可保证遗传物质的完整性和稳定性,避免遗传物质的突变产生,保证DNA复制的高保真度。 |



