

货号
产品规格
售价
备注
BN40955R-100ul
100ul
¥2360.00
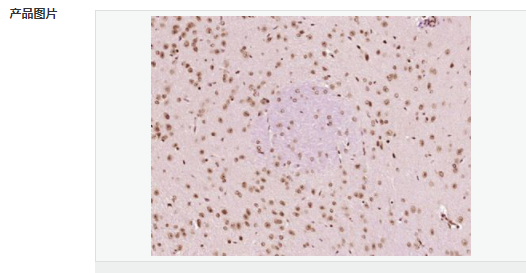
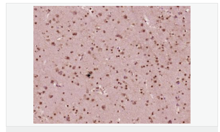
交叉反应:Rat,Mouse,Human(predicted:Rabbit,Cow,Pig,Dog) 推荐应用:WB,IHC-P,IHC-F,ICC,IF,ELISA
BN40955R-200ul
200ul
¥3490.00
交叉反应:Rat,Mouse,Human(predicted:Rabbit,Cow,Pig,Dog) 推荐应用:WB,IHC-P,IHC-F,ICC,IF,ELISA
产品描述
| 英文名称 | HSF1 |
| 中文名称 | 热休克因子1抗体 |
| 别 名 | Heat shock factor 1; Heat shock factor protein 1; Heat shock transcription factor 1; HSF 1; hsf1; HSTF 1; HSTF1; HSF1_HUMAN. |
| 研究领域 | 肿瘤 细胞生物 免疫学 信号转导 细胞凋亡 转录调节因子 |
| 抗体来源 | Rabbit |
| 克隆类型 | Polyclonal |
| 交叉反应 | Human, Mouse, Rat, (predicted: Dog, Pig, Cow, Rabbit, ) |
| 产品应用 | WB=1:200-500 ELISA=1:5000-10000 IHC-P=1:100-500 IHC-F=1:100-500 IF=1:100-500 (石蜡切片需做抗原修复) not yet tested in other applications. optimal dilutions/concentrations should be determined by the end user. |
| 分 子 量 | 57kDa |
| 细胞定位 | 细胞核 细胞浆 |
| 性 状 | Liquid |
| 浓 度 | 1mg/ml |
| 免 疫 原 | KLH conjugated Synthesised phosphopeptide derived from human HSF1 around the phosphorylation site of Ser303:351-450/529 |
| 亚 型 | IgG |
| 纯化方法 | affinity purified by Protein A |
| 储 存 液 | 0.01M TBS(pH7.4) with 1% BSA, 0.03% Proclin300 and 50% Glycerol. |
| 保存条件 | Shipped at 4℃. Store at -20 °C for one year. Avoid repeated freeze/thaw cycles. |
| PubMed | PubMed |
| 产品介绍 | The product of this gene is a heat-shock transcription factor. Transcription of heat-shock genes is rapidly induced after temperature stress. Hsp90, by itself and/or associated with multichaperone complexes, is a major repressor of this gene. [provided by RefSeq, Jul 2008]. Function: DNA-binding protein that specifically binds heat shockpromoter elements (HSE) and activates transcription. In highereukaryotes, HSF is unable to bind to the HSE unless the cells areheat shocked. Subunit: Monomer. Under normal conditions, interacts with HSP90AA1in the HSP90 multichaperone complex; the interaction preventstrimerization and activation of HSF1. On activation by heat-stressor by other factors such as metal ions, HSF1 is released from thecomplex, homotrimerizes, is hyperphosphorylated and translocated tothe nucleus where, subsequently, it can activate transcription.Binds the complex through the regulatory domain. Interacts withSYMPK and CSTF2 in heat-stressed cells. Interacts with FKBP4 in theHSP90 multichaperone complex; the interaction is independent of thephosphorylation state of HSF1. Interacts with MAPKAPK2. Subcellular Location: Cytoplasm. Nucleus. Note=Cytoplasmic duringnormal growth. On activation, translocates to nuclear stressgranules. Colocalizes with SUMO1 in nuclear stress granules. Tissue Specificity: Phosphorylated on multiple serine residues, a subset of whichare involved in stress-related regulation of transcriptionactivation. Constitutive phosphorylation represses transcriptionalactivity at normal temperatures. Levels increase on specificresidues heat-shock and enhance HSF1 transactivation activity.Phosphorylation on Ser-307 derepresses activation on heat-stressand in combination with Ser-303 phosphorylation appears to beinvolved in recovery after heat-stress. Phosphorylated on Ser-230by CAMK2, in vitro. Cadmium also enhances phosphorylation at thissite. Phosphorylation on Ser-303 is a prerequisite for HSF1sumoylation. Phosphorylation on Ser-121 inhibits transactivationand promotes HSP90 binding. Phosphorylation on Thr-142 alsomediates transcriptional activity induced by heat. Sumoylated with SUMO1 and SUMO2 on heat-shock. Heat-induciblesumoylation occurs after 15 min of heat-shock, after which levelsdecrease and at 4 hours, levels return to control levels.Sumoylation has no effect on HSE binding nor on transcriptionalactivity. Phosphorylation on Ser-303 is a prerequisite forsumoylation. Similarity: Belongs to the HSF family. SWISS: Q00613 Gene ID: 3297 Database links: Entrez Gene: 3297 Human Entrez Gene: 15499 Mouse Omim: 140580 Human SwissProt: Q00613 Human SwissProt: P38532 Mouse Unigene: 530227 Human Unigene: 347444 Mouse Important Note: This product as supplied is intended for research use only, not for use in human, therapeutic or diagnostic applications. |

