

货号
产品规格
售价
备注
BN40941R-100ul
100ul
¥2470.00
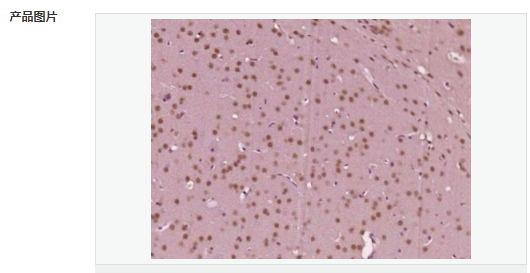
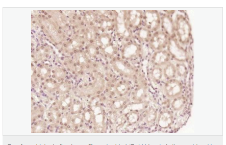
交叉反应:Human,Mouse,Rat(predicted:Dog,Pig,Cow,Horse,Rabbit) 推荐应用:IHC-P,IHC-F,ICC,IF,ELISA
产品描述
| 英文名称 | phospho-Rb (Ser249) |
| 中文名称 | 磷酸化视网膜母细胞瘤相关蛋白1抗体 |
| 别 名 | RB1(phospho S249); Rb (phospho-Ser249); Rb (phospho Ser249); Rb (phospho S249); p-Rb (Ser249); OSRC; P105 RB; p105-Rb; P105RB; PP105; PP110; pRb; RB 1; RB1; RB1 protein; Retinoblastoma 1 (including osteosarcoma); Retinoblastoma 1; Retinoblastoma associated protein; Including osteosarcoma; Osteosarcoma; p105-Rb; Rb; RB_HUMAN; Retinoblastoma suspectibility protein; Retinoblastoma-associated protein; Retinoblastoma related osteosarcoma; Retinoblastoma susceptibility gene; Including osteosarcoma. |
| 产品类型 | 磷酸化抗体 |
| 研究领域 | 肿瘤 细胞生物 免疫学 染色质和核信号 表观遗传学 |
| 抗体来源 | Rabbit |
| 克隆类型 | Polyclonal |
| 交叉反应 | Mouse, Rat, (predicted: Human, Dog, Pig, Cow, Horse, Rabbit, ) |
| 产品应用 | ELISA=1:5000-10000 IHC-P=1:100-500 IHC-F=1:100-500 IF=1:100-500 (石蜡切片需做抗原修复) not yet tested in other applications. optimal dilutions/concentrations should be determined by the end user. |
| 分 子 量 | 106kDa |
| 细胞定位 | 细胞核 |
| 性 状 | Liquid |
| 浓 度 | 1mg/ml |
| 免 疫 原 | KLH conjugated Synthesised phosphopeptide derived from human Rb around the phosphorylation site of Ser249:NG(p-S)PR |
| 亚 型 | IgG |
| 纯化方法 | affinity purified by Protein A |
| 储 存 液 | 0.01M TBS(pH7.4) with 1% BSA, 0.03% Proclin300 and 50% Glycerol. |
| 保存条件 | Shipped at 4℃. Store at -20 °C for one year. Avoid repeated freeze/thaw cycles. |
| PubMed | PubMed |
| 产品介绍 | Rb is a tumor suppressor gene which functions as a negative regulator of the cell cycle by interacting with transcription factors including E2F1, PU1, ATF2, UBF, Elf1 and cAbl. This ability of Rb to alter transcription is regulated by phosphorylation catalyzed by the cyclin dependent protein kinases (cdks). Rb is phosphorylated on serine and threonine, but not on tyrosine residues. It forms a complex with SV40 large T antigen, adenovirus E1A, and human papilloma virus 16E. Rb protein may act by regulating transcription and loss of its function leads to uncontrolled cell growth. Aberrations in the Rb gene have been implicated in cancers of breast, colon, prostate, kidney, nasopharynx, and leukemia. Function: Key regulator of entry into cell division that acts as a tumor suppressor. Promotes G0-G1 transition when phosphorylated by CDK3/cyclin-C. Acts as a transcription repressor of E2F1 target genes. The underphosphorylated, active form of RB1 interacts with E2F1 and represses its transcription activity, leading to cell cycle arrest. Directly involved in heterochromatin formation by maintaining overall chromatin structure and, in particular, that of constitutive heterochromatin by stabilizing histone methylation. Recruits and targets histone methyltransferases SUV39H1, SUV420H1 and SUV420H2, leading to epigenetic transcriptional repression. Controls histone H4 'Lys-20' trimethylation. Inhibits the intrinsic kinase activity of TAF1. Mediates transcriptional repression by SMARCA4/BRG1 by recruiting a histone deacetylase (HDAC) complex to the c-FOS promoter. In resting neurons, transcription of the c-FOS promoter is inhibited by BRG1-dependent recruitment of a phospho-RB1-HDAC1 repressor complex. Upon calcium influx, RB1 is dephosphorylated by calcineurin, which leads to release of the repressor complex (By similarity). In case of viral infections, interactions with SV40 large T antigen, HPV E7 protein or adenovirus E1A protein induce the disassembly of RB1-E2F1 complex thereby disrupting RB1's activity. Subunit: Interacts with ATAD5. Interacts with PRMT2, CDK1 and CDK2. The hypophosphorylated form interacts with and sequesters the E2F1 transcription factor. Interacts with heterodimeric E2F/DP transcription factor complexes containing TFDP1 and either E2F1, E2F3, E2F4 or E2F5, or TFDP2 and E2F4. The unphosphorylated form interacts with EID1, ARID3B, KDM5A, SUV39H1, MJD2A/JHDM3A and THOC1. Interacts with the N-terminal domain of TAF1. Interacts with AATF, DNMT1, LIN9, LMNA, SUV420H1, SUV420H2, PELP1 and TMPO-alpha. May interact with NDC80. Interacts with GRIP1 and UBR4. Interacts with ARID4A and KDM5B. Interacts with E4F1 and LIMD1. Interacts with SMARCA4/BRG1 AND HDAC1. Interacts with adenovirus E1A protein, HPV E7 protein and SV40 large T antigen. Interacts with PSMA3 and USP4. Interacts (when methylated at Lys-860) with L3MBTL1. Subcellular Location: Nucleus. Tissue Specificity: Expressed in the retina. Post-translational modifications: Phosphorylated by CDK6 and CDK4, and subsequently by CDK2 at Ser-567 in G1, thereby releasing E2F1 which is then able to activate cell growth. Dephosphorylated at the late M phase. SV40 large T antigen, HPV E7 and adenovirus E1A bind to the underphosphorylated, active form of pRb. Phosphorylation at Thr-821 and Thr-826 promotes interaction between the C-terminal domain C and the Pocket domain, and thereby inhibits interactions with heterodimeric E2F/DP transcription factor complexes. Dephosphorylated at Ser-795 by calcineruin upon calcium stimulation. CDK3/cyclin-C-mediated phosphorylation at Ser-807 and Ser-811 is required for G0-G1 transition. Phosphorylated by CDK1 and CDK2 upon TGFB1-mediated apoptosis. N-terminus is methylated by METTL11A/NTM1. Monomethylated at Lys-860 by SMYD2, promoting interaction with L3MBTL1. DISEASE: Defects in RB1 are the cause of childhood cancer retinoblastoma (RB) [MIM:180200]. RB is a congenital malignant tumor that arises from the nuclear layers of the retina. It occurs in about 1:20'000 live births and represents about 2% of childhood malignancies. It is bilateral in about 30% of cases. Although most RB appear sporadically, about 20% are transmitted as an autosomal dominant trait with incomplete penetrance. The diagnosis is usually made before the age of 2 years when strabismus or a gray to yellow reflex from pupil ('cat eye') is investigated. Defects in RB1 are a cause of susceptibility to bladder cancer (BLC) [MIM:109800]. A malignancy originating in tissues of the urinary bladder. It often presents with multiple tumors appearing at different times and at different sites in the bladder. Most bladder cancers are transitional cell carcinomas. They begin in cells that normally make up the inner lining of the bladder. Other types of bladder cancer include squamous cell carcinoma (cancer that begins in thin, flat cells) and adenocarcinoma (cancer that begins in cells that make and release mucus and other fluids). Bladder cancer is a complex disorder with both genetic and environmental influences. Defects in RB1 are a cause of osteogenic sarcoma (OSRC) [MIM:259500]. Similarity: Belongs to the retinoblastoma protein (RB) family. SWISS: P06400 Gene ID: 5925 Database links: Entrez Gene: 5925 Human Entrez Gene: 19645 Mouse Omim: 614041 Human SwissProt: P06400 Human SwissProt: P13405 Mouse Unigene: 408528 Human Unigene: 273862 Mouse Unigene: 55115 Rat Important Note: This product as supplied is intended for research use only, not for use in human, therapeutic or diagnostic applications. |

