

货号
产品规格
售价
备注
BN40925R-100ul
100ul
¥2470.00
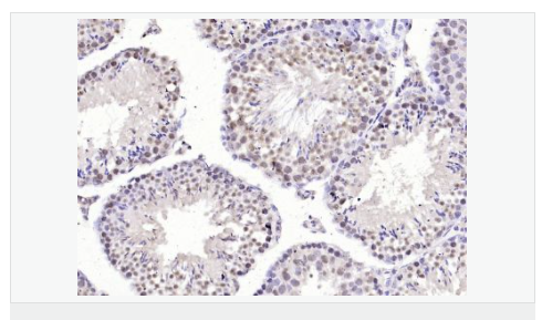
交叉反应:Human,Mouse(predicted:Rat,Chicken,Dog,Pig,Cow,Horse,Sheep) 推荐应用:WB,IHC-P,IHC-F,IF,ELISA
产品描述
| 英文名称 | Phospho-PPIG (Ser376) |
| 中文名称 | 磷酸化亲环蛋白(亲环素)PPIG抗体 |
| 别 名 | CARS cyclophilin; CARS Cyp; CASP 10; CASP10; Clk associating RS cyclophilin; Cyclophilin G; CyclophilinG; CYP; MGC133241; Peptidyl prolyl cis trans isomerase G; Peptidyl prolyl isomerase G; Peptidylprolyl isomerase G (cyclophilin G); Peptidylprolyl isomerase G; PPIase G; Rotamase G; RotamaseG; PPIG_HUMAN. |
| 产品类型 | 磷酸化抗体 |
| 研究领域 | 细胞生物 免疫学 染色质和核信号 |
| 抗体来源 | Rabbit |
| 克隆类型 | Polyclonal |
| 交叉反应 | Human, Mouse, (predicted: Rat, Chicken, Dog, Pig, Cow, Horse, Sheep, ) |
| 产品应用 | WB=1:500-2000 ELISA=1:5000-10000 IHC-P=1:100-500 IHC-F=1:100-500 IF=1:100-500 (石蜡切片需做抗原修复) not yet tested in other applications. optimal dilutions/concentrations should be determined by the end user. |
| 分 子 量 | 89kDa |
| 细胞定位 | 细胞核 |
| 性 状 | Liquid |
| 浓 度 | 1mg/ml |
| 免 疫 原 | KLH conjugated Synthesised phosphopeptide derived from human PPIG around the phosphorylation site of Ser376:VS(p-S)GE |
| 亚 型 | IgG |
| 纯化方法 | affinity purified by Protein A |
| 储 存 液 | 0.01M TBS(pH7.4) with 1% BSA, 0.03% Proclin300 and 50% Glycerol. |
| 保存条件 | Shipped at 4℃. Store at -20 °C for one year. Avoid repeated freeze/thaw cycles. |
| PubMed | PubMed |
| 产品介绍 | PPIG belongs to the the peptidyl-prolyl cis/trans isomerase protein family (PPIases). PPIases accelerate the folding of proteins. PPIG catalyzes the cis-trans isomerization of proline imidic peptide bonds in oligopeptides and is implicated in the folding, transport, and assembly of proteins. It is distributed in nuclear speckles, a nuclear compartment rich in splicing factors, and colocalizes with the splicing factors SC35 and pinin, suggesting a role in the regulation of pre-mRNA splicing. Function: PPIases accelerate the folding of proteins. It catalyzes the cis-trans isomerization of proline imidic peptide bonds in oligopeptides. May be implicated in the folding, transport, and assembly of proteins. May play an important role in the regulation of pre-mRNA splicing. Subunit: Interacts with CLK1, PNN and with the phosphorylated C-terminal domain of RNA polymerase II. Subcellular Location: Nucleus matrix. Nucleus speckle. Note=Colocalizes with RNA splicing factors at nuclear speckles. Tissue Specificity: Ubiquitous. Post-translational modifications: Phosphorylated upon DNA damage, probably by ATM or ATR. Similarity: Contains 1 PPIase cyclophilin-type domain. SWISS: Q13427 Gene ID: 9360 Database links: Entrez Gene: 9360 Human Entrez Gene: 228005 Mouse Omim: 606093 Human SwissProt: Q13427 Human SwissProt: A2AR02 Mouse Unigene: 727580 Human Unigene: 11815 Mouse Unigene: 474951 Mouse Unigene: 10898 Rat Important Note: This product as supplied is intended for research use only, not for use in human, therapeutic or diagnostic applications. 肽基脯氨酰基顺反异构酶,广泛存在于各种组织和器官。根据对免疫抑制剂的敏感性,分属三个独立的家族:亲环蛋白PPIG、FK506结合蛋白和细蛋白。能够加速自身折叠和体内新生肽链折叠及变性蛋白质的体外折叠,主要分布于内质网。 |

