

货号
产品规格
售价
备注
BN40892R-100ul
100ul
¥2470.00
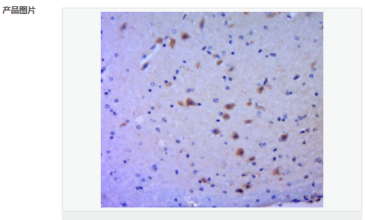
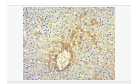
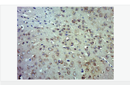
交叉反应:Human,Mouse,Rat(predicted:Dog,Pig,Cow,Rabbit,GuineaPig) 推荐应用:IHC-P,IHC-F,IF,Flow-Cyt,ELISA
产品描述
| 英文名称 | Phospho-MLK3 (Thr277 + Ser281) |
| 中文名称 | 磷酸化丝氨酸/苏氨酸蛋白激酶MLK3抗体 |
| 别 名 | MLK3 (phospho T277 + S281); MEKK11; MGC17114; Mitogen-activated protein kinase kinase kinase 11; Mixed lineage kinase 3; Mixed lineage protein kinase 3; Mlk-3; Mlk3; Protein tyrosine kinase PTK1; PTK1; RHOE; SH3 domain containing proline rich kinase; SPRK; Src-homology 3 domain-containing proline-rich kinase; 2610017K16Rik; EC 2.7.11.25; M3K11_HUMAN. |
| 产品类型 | 磷酸化抗体 |
| 研究领域 | 免疫学 神经生物学 信号转导 细胞凋亡 转录调节因子 激酶和磷酸酶 |
| 抗体来源 | Rabbit |
| 克隆类型 | Polyclonal |
| 交叉反应 | Human, Mouse, Rat, (predicted: Dog, Pig, Cow, Rabbit, Guinea Pig, ) |
| 产品应用 | ELISA=1:5000-10000 IHC-P=1:100-500 IHC-F=1:100-500 Flow-Cyt=1ug/Test IF=1:100-500 (石蜡切片需做抗原修复) not yet tested in other applications. optimal dilutions/concentrations should be determined by the end user. |
| 分 子 量 | 93kDa |
| 细胞定位 | 细胞浆 |
| 性 状 | Liquid |
| 浓 度 | 1mg/ml |
| 免 疫 原 | KLH conjugated synthesised phosphopeptide derived from human MLK3 around the phosphorylation site of Thr277/Ser281:K(p-T)TQM(p-S)AA |
| 亚 型 | IgG |
| 纯化方法 | affinity purified by Protein A |
| 储 存 液 | 0.01M TBS(pH7.4) with 1% BSA, 0.03% Proclin300 and 50% Glycerol. |
| 保存条件 | Shipped at 4℃. Store at -20 °C for one year. Avoid repeated freeze/thaw cycles. |
| PubMed | PubMed |
| 产品介绍 | Members of the mixed-lineage kinase (MLK) family (including MLK1, MLK2, MLK3, and dual leucine zipper kinase [DLK]) are serine/threonine protein kinases that are expressed in multiple cell types. MLK3 is activated by phosphorylation in response to stress stimuli (e.g., inflammatory responses, UV, chemical stress) that are coupled to the small GTPase, Cdc42/rac. MLK3 is a multifunctional kinase that plays an essential role in several signaling pathways, including mitogen-activated protein kinase (i.e. activation of JNK and p38), IkappaB/NFkappaB, and p70 S6 kinase. Indeed MLK3 signaling occurs through multiple signaling domains in this protein kinase including (from N- to C-terminal) a glycine-rich domain, Src homology 3 (SH3) domain, a kinase domain, a zipper domain, a Cdc42/rac interactive binding (CRIB) domain and a Pro/Ser/Thr-rich domain. Phosphorylation of MLK3 occurs on multiple residues including threonine 277 and serine 281 within the activation loop of the kinase domain. Function: Activates the JUN N-terminal pathway. Required for serum-stimulated cell proliferation and for mitogen and cytokine activation of MAPK14 (p38), MAPK3 (ERK) and MAPK8 (JNK1). Plays a role in mitogen-stimulated phosphorylation and activation of BRAF, but does not phosphorylate BRAF directly. Influences microtubule organization during the cell cycle. Subunit: Homodimer; undergoes dimerization during activation. Subcellular Location: Cytoplasm, cytoskeleton, centrosome. Note=Location is cell cycle dependent. Tissue Specificity: Expressed in a wide variety of normal and neoplastic tissues including fetal lung, liver, heart and kidney, and adult lung, liver, heart, kidney, placenta, skeletal muscle, pancreas and brain. Post-translational modifications: Autophosphorylation on serine and threonine residues within the activation loop plays a role in enzyme activation. Thr-277 is likely to be the main autophosphorylation site. Phosphorylation of Ser-555 and Ser-556 is induced by CDC42. Similarity: Belongs to the protein kinase superfamily. STE Ser/Thr protein kinase family. MAP kinase kinase kinase subfamily. Contains 1 protein kinase domain. Contains 1 SH3 domain. SWISS: Q16584 Gene ID: 4296 Database links: Entrez Gene: 4296 Human Entrez Gene: 26403 Mouse Omim: 600050 Human SwissProt: Q16584 Human SwissProt: Q6P2G4 Human SwissProt: Q80XI6 Mouse Unigene: 502872 Human Unigene: 185026 Mouse Important Note: This product as supplied is intended for research use only, not for use in human, therapeutic or diagnostic applications. MLK3是JNK蛋白上游的重要活化因子,通过直接磷酸化并激活中游MKK4/7蛋白激酶,从而激活JNK应激信号通路。 |




