

货号
产品规格
售价
备注
BN40733R-100ul
100ul
¥2360.00
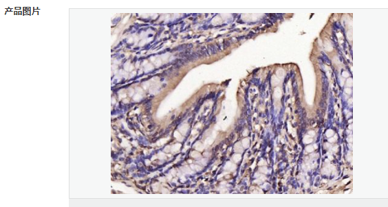
交叉反应:Rat(predicted:Mouse,Rabbit) 推荐应用:IHC-P
BN40733R-200ul
200ul
¥3490.00
交叉反应:Rat(predicted:Mouse,Rabbit) 推荐应用:IHC-P
产品描述
| 英文名称 | iNOS |
| 中文名称 | 一氧化氮合成酶-2(诱导型)抗体 |
| 别 名 | i NOS; Nitric Oxide Synthase, Inducible; HEP NOS; Hepatocyte NOS; HEPNOS; Inducible nitric oxide synthase; Inducible NO synthase; Inducible NOS; INOS; Inosl; MAC NOS; Macrophage NOS; Nitric oxide synthase 2 inducible macrophage; Nitric oxide synthase 2A (inducible hepatocytes); Nitric oxide synthase inducible; NOS 2; NOS 2A; NOS; Nos II; NOS type II; Nos2; NOS2A; NOS2_HUMAN. |
| 研究领域 | 细胞生物 免疫学 神经生物学 信号转导 转录调节因子 激酶和磷酸酶 |
| 抗体来源 | Rabbit |
| 克隆类型 | Polyclonal |
| 交叉反应 | Rat, (predicted: Mouse, Rabbit, ) |
| 产品应用 | IHC-P=1:400-800 (石蜡切片需做抗原修复) not yet tested in other applications. optimal dilutions/concentrations should be determined by the end user. |
| 分 子 量 | 130kDa |
| 细胞定位 | 细胞核 细胞浆 |
| 性 状 | Liquid |
| 浓 度 | 1mg/ml |
| 免 疫 原 | KLH conjugated synthetic peptide derived from mouse iNOS:811-910/1153 |
| 亚 型 | IgG |
| 纯化方法 | affinity purified by Protein A |
| 储 存 液 | 0.01M TBS(pH7.4) with 1% BSA, 0.03% Proclin300 and 50% Glycerol. |
| 保存条件 | Shipped at 4℃. Store at -20 °C for one year. Avoid repeated freeze/thaw cycles. |
| PubMed | PubMed |
| 产品介绍 | Nitric oxide (NO) is an inorganic, gaseous free radical that carries a variety of messages between cells. Vasorelaxation, neurotransmission and cytotoxicity can all be potentiated through cellular response to NO. NO production is mediated by members of the nitric oxide synthase (NOS) family. NOS catalyzes the oxidization of L-arginine to produce L-citrulline and NO. Two constitutive isoforms, brain or neuronal NOS (b or nNOS, type I) & endothelial cell NOS (eNOS, type III), and one inducible isoform (iNOS, type II), have been cloned. All NOS isoforms contain calmodulin, nicotinamide adenine dinucleotide phosphate (NADPH), flavin adenine dinucleotide (FAD), and flavin mononucleotide (FMN) binding domains. Nitric oxide synthase is expressed in liver, macrophages, hepatocytes, synoviocytes, stimulated glial cells and smooth muscle cells. Cytokines such as interferon-gamma (IFN), tumor necrosis factor (TNF), interleukin-1 and -2, and lipopolysaccarides (LPS) cause an increase in iNOS mRNA, protein, and activity levels. Protein kinase C-stimulating agents exhibit the same effect on iNOS activity. After cytokine induction, iNOS exhibits a delayed activity response which is then followed by a significant increase in NO production over a long period of time. Human iNOS is regulated by calcium/calmodulin (in contrast with mouse NOS2). Function: Produces nitric oxide (NO) which is a messenger molecule with diverse functions throughout the body. In macrophages, NO mediates tumoricidal and bactericidal actions. Also has nitrosylase activity and mediates cysteine S-nitrosylation of cytoplasmic target proteins such COX2. Subunit: Homodimer. Binds SLC9A3R1. Tissue Specificity: Expressed in the liver, retina, bone cells and airway epithelial cells of the lung. Not expressed in the platelets. Similarity: Belongs to the NOS family. Contains 1 FAD-binding FR-type domain. Contains 1 flavodoxin-like domain. SWISS: P29477 Gene ID: 18126 Database links: Entrez Gene: 4843 Human Entrez Gene: 18126 Mouse Omim: 163730 Human SwissProt: P35228 Human SwissProt: P29477 Mouse Unigene: 709191 Human Unigene: 2893 Mouse Unigene: 10400 Rat Important Note: This product as supplied is intended for research use only, not for use in human, therapeutic or diagnostic applications. 合成与降解(Synthesis and Degradation) 催化生物体内一氧化氮(NO)生成的酶。分神经型一氧化氮合成的酶(nNOS or NOS-1)、诱导型一氧化氮合成的酶(iNOS or NOS-2)、内皮型一氧化氮合成的酶(eNOS or NOS-3)。 |
