

货号
产品规格
售价
备注
BN40641R-100ul
100ul
¥2360.00
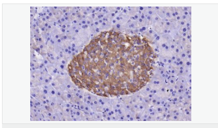
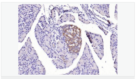
交叉反应:Human,Mouse,Rat(predicted:Pig,Cow,Sheep) 推荐应用:WB,IHC-P,IHC-F,IF,ELISA
BN40641R-200ul
200ul
¥3490.00
交叉反应:Human,Mouse,Rat(predicted:Pig,Cow,Sheep) 推荐应用:WB,IHC-P,IHC-F,IF,ELISA
产品描述
| 英文名称 | GPR49/LGR5 |
| 中文名称 | G蛋白偶联受体49抗体 |
| 别 名 | G protein coupled receptor 49; G-protein coupled receptor 49; G-protein coupled receptor 67; GPCR GPR49; G protein coupled receptor 67; FEX; g protein-coupled receptor fex; G-protein coupled receptor HG38; GPR 49; GPR 67; GPR49; GPR67; Leucine rich repeat containing G protein coupled receptor 5; LGR5; HG 38; HG38; LGR5; LGR5_HUMAN; MGC117008; Leucine-rich repeat-containing G-protein coupled receptor 5; LGR 5; Orphan G protein coupled receptor HG38. |
| 研究领域 | 肿瘤 信号转导 干细胞 细胞凋亡 G蛋白偶联受体 G蛋白信号 |
| 抗体来源 | Rabbit |
| 克隆类型 | Polyclonal |
| 交叉反应 | Human, Mouse, Rat, (predicted: Pig, Cow, Sheep, ) |
| 产品应用 | WB=1:500-2000 ELISA=1:5000-10000 IHC-P=1:100-500 IHC-F=1:100-500 IF=1:100-500 (石蜡切片需做抗原修复) not yet tested in other applications. optimal dilutions/concentrations should be determined by the end user. |
| 分 子 量 | 98kDa |
| 细胞定位 | 细胞膜 |
| 性 状 | Liquid |
| 浓 度 | 1mg/ml |
| 免 疫 原 | KLH conjugated synthetic peptide derived from human GPR49/LGR5:331-430/907 <Extracellular> |
| 亚 型 | IgG |
| 纯化方法 | affinity purified by Protein A |
| 储 存 液 | 0.01M TBS(pH7.4) with 1% BSA, 0.03% Proclin300 and 50% Glycerol. |
| 保存条件 | Shipped at 4℃. Store at -20 °C for one year. Avoid repeated freeze/thaw cycles. |
| PubMed | PubMed |
| 产品介绍 | The protein encoded by this gene is a leucine-rich repeat-containing receptor (LGR) and member of the G protein-coupled, 7-transmembrane receptor (GPCR) superfamily. The encoded protein is a receptor for R-spondins and is involved in the canonical Wnt signaling pathway. This protein plays a role in the formation and maintenance of adult intestinal stem cells during postembryonic development. Several transcript variants encoding different isoforms have been found for this gene. [provided by RefSeq, Sep 2015] Function: Receptor for R-spondins that potentiates the canonical Wnt signaling pathway and acts as a stem cell marker of the intestinal epithelium and the hair follicle. Upon binding to R-spondins (RSPO1, RSPO2, RSPO3 or RSPO4), associates with phosphorylated LRP6 and frizzled receptors that are activated by extracellular Wnt receptors, triggering the canonical Wnt signaling pathway to increase expression of target genes. In contrast to classical G-protein coupled receptors, does not activate heterotrimeric G-proteins to transduce the signal. Involved in the development and/or maintenance of the adult intestinal stem cells during postembryonic development. Subunit: Identified in a complex composed of RNF43, LGR5 and RSPO1. Subcellular Location: Cell membrane; Multi-pass membrane protein Tissue Specificity: Expressed in skeletal muscle, placenta, spinal cord, and various region of brain. Expressed at the base of crypts in colonic and small mucosa stem cells. In premalignant cancer expression is not restricted to the cript base. Overexpressed in cancers of the ovary, colon and liver. Similarity: Belongs to the G-protein coupled receptor 1 family. Contains 16 LRR (leucine-rich) repeats. Contains 1 LRRNT domain. SWISS: O75473 Gene ID: 8549 Database links: Entrez Gene: 8549 Human Entrez Gene: 14160 Mouse Omim: 606667 Human SwissProt: O75473 Human SwissProt: Q9Z1P4 Mouse Unigene: 658889 Human Unigene: 42103 Mouse Unigene: 214063 Rat Important Note: This product as supplied is intended for research use only, not for use in human, therapeutic or diagnostic applications. Lgr5基因(Wnt细胞信号系统)是一种G蛋白偶联受体,已经被确定为几种成年组织和癌症中干细胞的一个独特标记。Lgr5最初是在结肠癌细胞中发现的,有报道称:在恶化前的小鼠腺瘤中也有发现,这说明Lgr5很可能也是其他组织成体干细胞和癌症干细胞的标志物。 |




