

货号
产品规格
售价
备注
BN40639R-100ul
100ul
¥2360.00
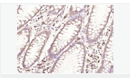
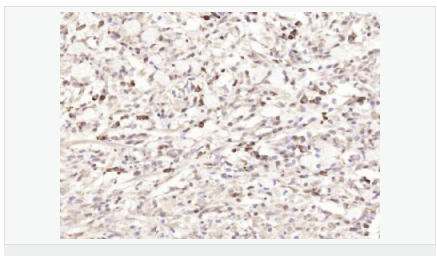
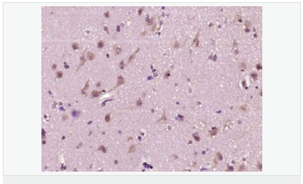
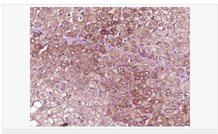
交叉反应:Human,Mouse(predicted:Rat,Pig,Horse) 推荐应用:WB,IHC-P,IHC-F,IF,ELISA
BN40639R-200ul
200ul
¥3490.00
交叉反应:Human,Mouse(predicted:Rat,Pig,Horse) 推荐应用:WB,IHC-P,IHC-F,IF,ELISA
产品描述
| 英文名称 | VEGF-C |
| 中文名称 | 血管内皮生长因子C型抗体 |
| 别 名 | Vascuoar endothelial growth factor-C; AW228853; Flt4 ligand; Flt4-L; VEGF2; VEGFC; VRP; VEGFC_HUMAN. |
| 研究领域 | 细胞生物 血管内皮细胞 |
| 抗体来源 | Rabbit |
| 克隆类型 | Polyclonal |
| 交叉反应 | Human, Mouse, (predicted: Rat, Pig, Horse, ) |
| 产品应用 | WB=1:500-2000 ELISA=1:5000-10000 IHC-P=1:100-500 IHC-F=1:100-500 ICC=1:100-500 IF=1:100-500 (石蜡切片需做抗原修复) not yet tested in other applications. optimal dilutions/concentrations should be determined by the end user. |
| 分 子 量 | 13/46kDa |
| 细胞定位 | 分泌型蛋白 |
| 性 状 | Liquid |
| 浓 度 | 1mg/ml |
| 免 疫 原 | KLH conjugated synthetic peptide derived from human VEGF-C:112-170/419 |
| 亚 型 | IgG |
| 纯化方法 | affinity purified by Protein A |
| 储 存 液 | 0.01M TBS(pH7.4) with 1% BSA, 0.03% Proclin300 and 50% Glycerol. |
| 保存条件 | Shipped at 4℃. Store at -20 °C for one year. Avoid repeated freeze/thaw cycles. |
| PubMed | PubMed |
| 产品介绍 | Vascular endothelial growth factors (VEGFs), also known as vasculotropins, are a family of closely related growth factors having a conserved pattern of eight cysteine residues and sharing common VEGF receptors. VEGFs stimulate the proliferation of endothelial cells, induce angiogenesis, promote cell migration, increase vascular permeability, and inhibit apoptosis. The mitogenic activity of VEGFs appears to be mediated by specific VEGF receptors. The target cell specificity of VEGF is restricted to vascular endothelial cells. Vascular Endothelial Growth Factor C (VEGFC) is a member of the VEGF subfamily of PDGF-related growth factors. It is the ligand for Flt4 (VEGFR3) and KDR (VEGFR2). VEGFC binds Flt4 and induces tyrosine autophosphorylation of VEGFR3 and VEGFR2. VEGFC also stimulates the migration of bovine capillary endothelial cells in collagen gel. It is a specific growth factor for the lymphatic vascular system and mediates lymphangiogenesis. VEGFC is abundantly expressed in heart and skeletal muscle. Other tissues such as lung and kidney also express VEGFC. Subunit: Homodimer; non-covalent and antiparallel. Subcellular Location: Secreted. Tissue Specificity: Spleen, lymph node, thymus, appendix, bone marrow, heart, placenta, ovary, skeletal muscle, prostate, testis, colon and small intestine and fetal liver, lung and kidney, but not in peripheral blood lymphocyte. Similarity: Belongs to the PDGF/VEGF growth factor family. SWISS: P49767 Gene ID: 7424 Database links: Entrez Gene: 7424 Human Entrez Gene: 22341 Mouse Omim: 601528 Human SwissProt: P49767 Human SwissProt: P97953 Mouse Unigene: 435215 Human Unigene: 1402 Mouse Unigene: 6913 Rat Important Note: This product as supplied is intended for research use only, not for use in human, therapeutic or diagnostic applications. |





