

货号
产品规格
售价
备注
BN40492R-100ul
100ul
¥2360.00
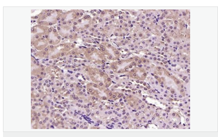
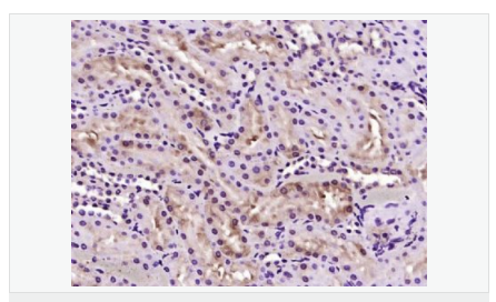
交叉反应:Human,Mouse,Rat(predicted:Dog,Pig,Cow,Horse,Rabbit,Sheep) 推荐应用:WB,IHC-P,IHC-F,IF,ELISA
BN40492R-200ul
200ul
¥3490.00
交叉反应:Human,Mouse,Rat(predicted:Dog,Pig,Cow,Horse,Rabbit,Sheep) 推荐应用:WB,IHC-P,IHC-F,IF,ELISA
产品描述
| 英文名称 | LULL1/TOR1AIP2 |
| 中文名称 | LULL1蛋白抗体 |
| 别 名 | TOR1AIP2; IFRG15; Interferon responsive gene 15; LULL1; Lumenal domain like LAP1; NET9; RP11-12M5.5; TOR1AIP2; Torsin 1A interacting protein 2; Torsin A interacting protein 2. |
| 研究领域 | 细胞生物 免疫学 |
| 抗体来源 | Rabbit |
| 克隆类型 | Polyclonal |
| 交叉反应 | Human, Mouse, Rat, (predicted: Dog, Pig, Cow, Horse, Rabbit, Sheep, ) |
| 产品应用 | WB=1:500-2000 ELISA=1:5000-10000 IHC-P=1:100-500 IHC-F=1:100-500 ICC=1:100-500 IF=1:100-500 (石蜡切片需做抗原修复) not yet tested in other applications. optimal dilutions/concentrations should be determined by the end user. |
| 分 子 量 | 51kDa |
| 细胞定位 | 细胞核 细胞浆 |
| 性 状 | Liquid |
| 浓 度 | 1mg/ml |
| 免 疫 原 | KLH conjugated synthetic peptide derived from human LULL1:221-320/470 |
| 亚 型 | IgG |
| 纯化方法 | affinity purified by Protein A |
| 储 存 液 | 0.01M TBS(pH7.4) with 1% BSA, 0.03% Proclin300 and 50% Glycerol. |
| 保存条件 | Shipped at 4℃. Store at -20 °C for one year. Avoid repeated freeze/thaw cycles. |
| PubMed | PubMed |
| 产品介绍 | LULL1 is a 470 amino acid endoplasmic reticulum single-pass membrane protein belonging to the TOR1AIP family. LULL1 interacts with torsinA, an essential AAA+ ATPase found in the endoplasmic reticulum (ER) and nuclear envelope (NE) of higher eukaryotes. LULL1 regulates the distribution and activity of torsinA within the ER and NE lumen and reveals functional defects in mutant torsinA, which is responsible for DYT1 dystonia, a neurodevelopmental disease caused by an in-frame deletion (Deltagag) in the gene encoding torsinA. The gene encoding LULL1 maps to human chromosome 1, which spans 260 million base pairs, contains over 3,000 genes and comprises nearly 8% of the human genome. Function: Regulates the distribution of TOR1A between the endoplasmic reticulum and the nuclear envelope. Subunit: Interacts with TOR1A and TOR1B (ATP-bound). Subcellular Location: Endoplasmic reticulum membrane; Single-pass membrane protein. Nucleus membrane. SWISS: Q8NFQ8 Gene ID: 163590 Database links: Entrez Gene: 163590 Human Omim: 614513 Human SwissProt: Q8NFQ8 Human Important Note: This product as supplied is intended for research use only, not for use in human, therapeutic or diagnostic applications. |




