

货号
产品规格
售价
备注
BN40486R-100ul
100ul
¥2360.00
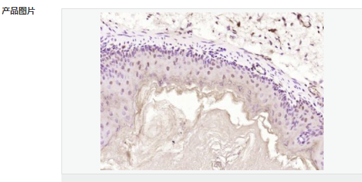
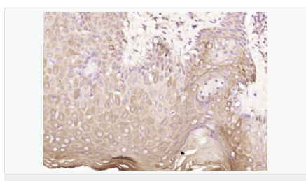
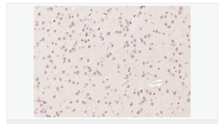
交叉反应:Human,Mouse,Rat(predicted:Dog,Pig,Cow,Horse,Sheep) 推荐应用:WB,IHC-P,IHC-F,ICC,IF,ELISA
BN40486R-200ul
200ul
¥3490.00
交叉反应:Human,Mouse,Rat(predicted:Dog,Pig,Cow,Horse,Sheep) 推荐应用:WB,IHC-P,IHC-F,ICC,IF,ELISA
产品描述
| 英文名称 | Ataxin 3 |
| 中文名称 | 脊髓小脑性共济失调蛋白3抗体 |
| 别 名 | AT3; Ataxin 3; Ataxin-3; ATX3; ATX3_HUMAN; ATXN3; EC 3.4.22.; JOS; Josephin; Machado Joseph disease (spinocerebellar ataxia 3, olivopontocerebellar ataxia 3, autosomal dominant, ataxin 3); Machado Joseph disease; Machado Joseph disease protein 1; Machado-Joseph disease protein 1; Machado-Joseph disease protein 1 homolog; MJD; MJD gene; MJD1; Olivopontocerebellar ataxia 3; OTTHUMP00000221583; OTTHUMP00000221585; OTTHUMP00000221586; OTTHUMP00000221587; OTTHUMP00000231995; OTTHUMP00000231997; Rsca3; SCA3; SCA3 gene; Spinocerebellar ataxia type 3 protein. |
| 研究领域 | 细胞生物 发育生物学 神经生物学 表观遗传学 泛素 |
| 抗体来源 | Rabbit |
| 克隆类型 | Polyclonal |
| 交叉反应 | Human, Mouse, Rat, (predicted: Dog, Pig, Cow, Horse, Sheep, ) |
| 产品应用 | WB=1:500-2000 ELISA=1:5000-10000 IHC-P=1:100-500 IHC-F=1:100-500 ICC=1:100-500 IF=1:100-500 (石蜡切片需做抗原修复) not yet tested in other applications. optimal dilutions/concentrations should be determined by the end user. |
| 分 子 量 | 42kDa |
| 细胞定位 | 细胞核 |
| 性 状 | Liquid |
| 浓 度 | 1mg/ml |
| 免 疫 原 | KLH conjugated synthetic peptide derived from human Ataxin 3:51-150/364 |
| 亚 型 | IgG |
| 纯化方法 | affinity purified by Protein A |
| 储 存 液 | 0.01M TBS(pH7.4) with 1% BSA, 0.03% Proclin300 and 50% Glycerol. |
| 保存条件 | Shipped at 4℃. Store at -20 °C for one year. Avoid repeated freeze/thaw cycles. |
| PubMed | PubMed |
| 产品介绍 | Machado-Joseph disease, also known as spinocerebellar ataxia-3, is an autosomal dominant neurologic disorder. The protein encoded by this gene contains (CAG)n repeats in the coding region, and the expansion of these repeats from the normal 13-36 to 68-79 is one cause of Machado-Joseph disease. There is a negative correlation between the age of onset and CAG repeat numbers. Alternatively spliced transcript variants encoding different isoforms have been described for this gene. [provided by RefSeq, Sep 2009] Function: Interacts with key regulators (CBP, p300 and PCAF) of transcription and represses transcription. Acts as a histone-binding protein that regulates transcription. Acts as a deubiquitinating enzyme. Subcellular Location: Nucleus matrix. Predominantly nuclear, but not exclusively, inner nuclear matrix. Tissue Specificity: Ubiquitous. DISEASE: Defects in ATXN3 are the cause of spinocerebellar ataxia type 3 (SCA3) [MIM:109150]; also known as Machado-Joseph disease (MJD). Spinocerebellar ataxia is a clinically and genetically heterogeneous group of cerebellar disorders. Patients show progressive incoordination of gait and often poor coordination of hands, speech and eye movements, due to degeneration of the cerebellum with variable involvement of the brainstem and spinal cord. SCA3 belongs to the autosomal dominant cerebellar ataxias type I (ADCA I) which are characterized by cerebellar ataxia in combination with additional clinical features like optic atrophy, ophthalmoplegia, bulbar and extrapyramidal signs, peripheral neuropathy and dementia. The molecular defect in SCA3 is the a CAG repeat expansion in ATXN3 coding region. Longer expansions result in earlier onset and more severe clinical manifestations of the disease. Similarity: Contains 1 Josephin domain. Contains 3 UIM (ubiquitin-interacting motif) repeats. SWISS: P54252 Gene ID: 4287 Database links: Entrez Gene: 4287 Human Entrez Gene: 110616 Mouse Omim: 607047 Human SwissProt: P54252 Human SwissProt: Q9CVD2 Mouse Unigene: 532632 Human Unigene: 271914 Mouse Unigene: 42932 Rat Important Note: This product as supplied is intended for research use only, not for use in human, therapeutic or diagnostic applications. |


