

货号
产品规格
售价
备注
BN40480R-100ul
100ul
¥2360.00
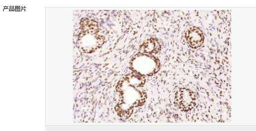
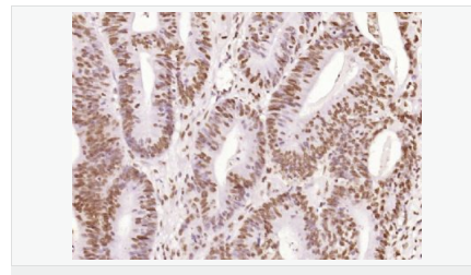
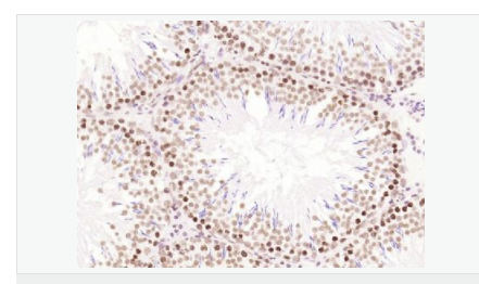
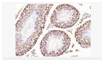
交叉反应:Human,Mouse,Rat(predicted:Pig,Cow,Horse,Sheep) 推荐应用:IHC-P,IHC-F,ICC,IF,ELISA
BN40480R-200ul
200ul
¥3490.00
交叉反应:Human,Mouse,Rat(predicted:Pig,Cow,Horse,Sheep) 推荐应用:IHC-P,IHC-F,ICC,IF,ELISA
产品描述
| 英文名称 | IRF2 |
| 中文名称 | 干扰素调节因子2抗体 |
| 别 名 | DKFZp686F0244; Interferon regulatory factor 2; IRF 2; IRF-2; IRF2; IRF2_HUMAN. |
| 研究领域 | 细胞生物 转录调节因子 表观遗传学 |
| 抗体来源 | Rabbit |
| 克隆类型 | Polyclonal |
| 交叉反应 | Human, Mouse, Rat, (predicted: Pig, Cow, Horse, Sheep, ) |
| 产品应用 | ELISA=1:5000-10000 IHC-P=1:100-500 IHC-F=1:100-500 ICC=1:100-500 IF=1:100-500 (石蜡切片需做抗原修复) not yet tested in other applications. optimal dilutions/concentrations should be determined by the end user. |
| 分 子 量 | 39kDa |
| 细胞定位 | 细胞核 |
| 性 状 | Liquid |
| 浓 度 | 1mg/ml |
| 免 疫 原 | KLH conjugated synthetic peptide derived from human IRF2:81-180/349 |
| 亚 型 | IgG |
| 纯化方法 | affinity purified by Protein A |
| 储 存 液 | 0.01M TBS(pH7.4) with 1% BSA, 0.03% Proclin300 and 50% Glycerol. |
| 保存条件 | Shipped at 4℃. Store at -20 °C for one year. Avoid repeated freeze/thaw cycles. |
| PubMed | PubMed |
| 产品介绍 | IRF2 encodes interferon regulatory factor 2, a member of the interferon regulatory transcription factor (IRF) family. IRF2 competitively inhibits the IRF1-mediated transcriptional activation of interferons alpha and beta, and presumably other genes that employ IRF1 for transcription activation. However, IRF2 also functions as a transcriptional activator of histone H4. [provided by RefSeq, Jul 2008] Function: Specifically binds to the upstream regulatory region of type I IFN and IFN-inducible MHC class I genes (the interferon consensus sequence (ICS)) and represses those genes. Also acts as an activator for several genes including H4 and IL7. Constitutively binds to the ISRE promoter to activate IL7. Involved in cell cycle regulation through binding the site II (HiNF-M) promoter region of H4 and activating transcription during cell growth. Antagonizes IRF1 transcriptional activation. Subcellular Location: Nucleus. Tissue Specificity: Expressed throughout the epithelium of the colon. Also expressed in lamina propria. Post-translational modifications: Acetylated by CBP/ p300 during cell-growth. Acetylation on Lys-75 is required for stimulation of H4 promoter activity. The major sites of sumoylation are Lys-137 and Lys-293. Sumoylation by SUMO1 increases its transcriptional repressor activity on IRF1 and diminishes its ability to activate ISRE and H4 promoter. Similarity: Belongs to the IRF family. Contains 1 IRF tryptophan pentad repeat DNA-binding domain. SWISS: P14316 Gene ID: 3660 Database links: Entrez Gene: 3660 Human Entrez Gene: 16363 Mouse Omim: 147576 Human SwissProt: P14316 Human SwissProt: P23906 Mouse Unigene: 654566 Human Unigene: 1149 Mouse Important Note: This product as supplied is intended for research use only, not for use in human, therapeutic or diagnostic applications. |








