

货号
产品规格
售价
备注
BN40424R-100ul
100ul
¥2360.00
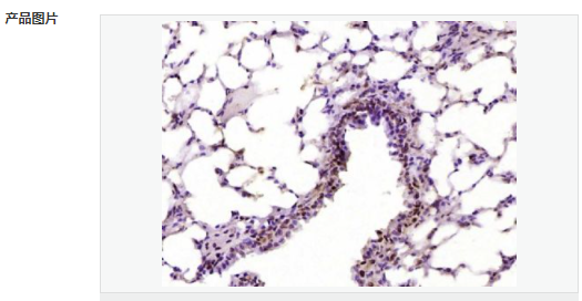
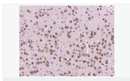
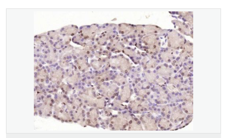
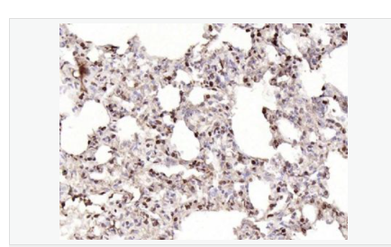
交叉反应:Mouse,Rat(predicted:Human,Dog,Pig,Cow,Horse,Rabbit) 推荐应用:IHC-P,IHC-F,ICC,IF,ELISA
BN40424R-200ul
200ul
¥3490.00
交叉反应:Mouse,Rat(predicted:Human,Dog,Pig,Cow,Horse,Rabbit) 推荐应用:IHC-P,IHC-F,ICC,IF,ELISA
产品描述
| 英文名称 | GNL3L |
| 中文名称 | 鸟嘌呤核苷酸结合蛋白3样蛋白抗体 |
| 别 名 | GNL3L_HUMAN; FLJ10613; Guanine nucleotide binding protein-like 3 (nucleolar)-like; novel GTPase; OTTHUMP00000023374. |
| 研究领域 | 细胞生物 免疫学 染色质和核信号 G蛋白偶联受体 G蛋白信号 |
| 抗体来源 | Rabbit |
| 克隆类型 | Polyclonal |
| 交叉反应 | Mouse, Rat, (predicted: Human, Dog, Pig, Cow, Horse, Rabbit, ) |
| 产品应用 | ELISA=1:5000-10000 IHC-P=1:100-500 IHC-F=1:100-500 ICC=1:100-500 IF=1:100-500 (石蜡切片需做抗原修复) not yet tested in other applications. optimal dilutions/concentrations should be determined by the end user. |
| 分 子 量 | 66kDa |
| 细胞定位 | 细胞核 |
| 性 状 | Liquid |
| 浓 度 | 1mg/ml |
| 免 疫 原 | KLH conjugated synthetic peptide derived from human GNL3L:210-310/582 |
| 亚 型 | IgG |
| 纯化方法 | affinity purified by Protein A |
| 储 存 液 | 0.01M TBS(pH7.4) with 1% BSA, 0.03% Proclin300 and 50% Glycerol. |
| 保存条件 | Shipped at 4℃. Store at -20 °C for one year. Avoid repeated freeze/thaw cycles. |
| PubMed | PubMed |
| 产品介绍 | GTPases from the MMR1/HSR1 GTP-binding protein subfamily are circularly rearranged G-motifs that play a critical role in maintaining normal cell growth. Deletion of these genes results in severe growth defects with a marked reduction in mature rRNA species and a concomitant accumulation of the 35S pre-rRNA transcript. Deletion also causes the ribosomal protein Rpl25a to fail exportation from the nucleolus. Deletion of any of the G-domain motifs will result in a null phenotype and nuclear/nucleolar localization that lacks the nucleolar export of preribosomes and is accompanied by a distortion of the nucleolar structure. GNL3L (guanine nucleotide binding protein-like 3 (nucleolar)-like) is a 582 amino acid nuclear protein that belongs to the MMR1/HSR1 GTP-binding protein family. Containing one G (guanine nucleotide-binding) domain, GNL3L is required for normal processing of ribosomal pre-rRNA and for cell proliferation. Function: Stabilizes TERF1 telomeric association by preventing TERF1 recruitment by PML. Stabilizes TERF1 protein by preventing its ubiquitination and hence proteasomal degradation. Does so by interfering with TERF1-binding to FBXO4 E3 ubiquitin-protein ligase. Required for cell proliferation. By stabilizing TRF1 protein during mitosis, promotes metaphase-to-anaphase transition. Stabilizes MDM2 protein by preventing its ubiquitination, and hence proteasomal degradation. By acting on MDM2, may affect TP53 activity. Required for normal processing of ribosomal pre-rRNA. Binds GTP. Subunit: Interacts with MDM2; this interaction, which occurs in the nucleoplasm, stabilizes MDM2. Indirectly interacts with TP53, via MDM2-binding. Interacts with TERF1; this interaction probably occurs in the nucleoplasm and is increased during mitosis, when the nucleolus is disassembled. This binding may promote TERF1 homodimerization. Interacts with TERT. Subcellular Location: Nucleus, nucleolus. Similarity: Belongs to the MMR1/HSR1 GTP-binding protein family. Contains 1 G (guanine nucleotide-binding) domain. SWISS: Q9NVN8 Gene ID: 54552 Database links: Entrez Gene: 54552 Human SwissProt: Q9NVN8 Human Important Note: This product as supplied is intended for research use only, not for use in human, therapeutic or diagnostic applications. |




