

货号
产品规格
售价
备注
BN40405R-100ul
100ul
¥2360.00
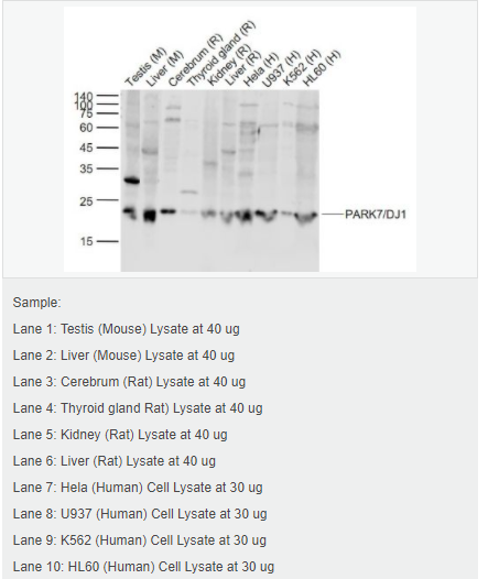
交叉反应:Human,Mouse,Rat(predicted:Pig,Cow,Horse) 推荐应用:WB,IHC-P,IHC-F,IF,Flow-Cyt,ELISA
BN40405R-200ul
200ul
¥3490.00
交叉反应:Human,Mouse,Rat(predicted:Pig,Cow,Horse) 推荐应用:WB,IHC-P,IHC-F,IF,Flow-Cyt,ELISA
产品描述
| 英文名称 | PARK7/DJ1 |
| 中文名称 | CAP1抗体 |
| 别 名 | PARK7; PARK-7; Parkinson disease protein 7; Park7 protein; CAP1; DJ-1; DJ 1; SP22; Protein DJ-1; Oncogene DJ1; FLJ27376; Park 7; Parkinson disease (autosomal recessive early onset) 7; RNA binding protein regulatory subunit; RS; SP22; CAP1_HUMAN. |
| 研究领域 | 肿瘤 免疫学 神经生物学 信号转导 激酶和磷酸酶 表观遗传学 G蛋白信号 |
| 抗体来源 | Rabbit |
| 克隆类型 | Polyclonal |
| 交叉反应 | Human, Mouse, Rat, (predicted: Pig, Cow, Horse, ) |
| 产品应用 | WB=1:500-2000 ELISA=1:5000-10000 IHC-P=1:100-500 IHC-F=1:100-500 Flow-Cyt=0.2μg/Test IF=1:100-500 (石蜡切片需做抗原修复) not yet tested in other applications. optimal dilutions/concentrations should be determined by the end user. |
| 分 子 量 | 20kDa |
| 细胞定位 | 细胞核 细胞浆 |
| 性 状 | Liquid |
| 浓 度 | 1mg/ml |
| 免 疫 原 | KLH conjugated synthetic peptide derived from human CAP1:101-189/189 |
| 亚 型 | IgG |
| 纯化方法 | affinity purified by Protein A |
| 储 存 液 | 0.01M TBS(pH7.4) with 1% BSA, 0.03% Proclin300 and 50% Glycerol. |
| 保存条件 | Shipped at 4℃. Store at -20 °C for one year. Avoid repeated freeze/thaw cycles. |
| PubMed | PubMed |
| 产品介绍 | PARK7/DJ1 is a ubiquitously expressed protein involved in various cellular processes including cell proliferation, RNA-binding, and oxidative stress. The protein has been found to colocalize within a subset of pathologic tau inclusions in a diverse group of neurodegenerative disorders known as tauopathies (Rizzu et al. 2004). Defects in PARK7/DJ1 are the cause of autosomal recessive early-onset Parkinson's disease 7 (PARK7). Parkinson's disease (PD) is a complex, multifactorial disorder that typically manifests after the age of 50 years. The disease is characterized by bradykinesia, resting tremor, muscular rigidity and postural instability. The pathology involves the loss of dopaminergic neurons in the substantia nigra and the presence of Lewy bodies (intraneuronal accumulations of aggregated proteins), in surviving neurons in various areas of the brain. PARK7 is characterized by onset before 40 years and slow progression. It has also been suggested that PARK7/DJ1 is a mitogen dependent oncogene product involved in Ras related signal transduction pathways. Function: Protects cells against oxidative stress and cell death. Plays a role in regulating expression or stability of the mitochondrial uncoupling proteins SLC25A14 and SLC25A27 in dopaminergic neurons of the substantia nigra pars compacta and attenuates the oxidative stress induced by calcium entry into the neurons via L-type channels during pacemaking. Eliminates hydrogen peroxide and protects cells against hydrogen peroxide-induced cell death. May act as an atypical peroxiredoxin-like peroxidase that scavenges hydrogen peroxide. Following removal of a C-terminal peptide, displays protease activity and enhanced cytoprotective action against oxidative stress-induced apoptosis. Stabilizes NFE2L2 by preventing its association with KEAP1 and its subsequent ubiquitination. Binds to OTUD7B and inhibits its deubiquitinating activity. Enhances RELA nuclear translocation. Binds to a number of mRNAs containing multiple copies of GG or CC motifs and partially inhibits their translation but dissociates following oxidative stress. Required for correct mitochondrial morphology and function and for autophagy of dysfunctional mitochondria. Regulates astrocyte inflammatory responses. Acts as a positive regulator of androgen receptor-dependent transcription. Prevents aggregation of SNCA. Plays a role in fertilization. Has no proteolytic activity. Has cell-growth promoting activity and transforming activity. May function as a redox-sensitive chaperone. Subcellular Location: Cytoplasm. Nucleus. Mitochondrion. Under normal conditions, located predominantly in the cytoplasm and, to a lesser extent, in the nucleus and mitochondrion. Translocates to the mitochondrion and subsequently to the nucleus in response to oxidative stress and exerts an increased cytoprotective effect against oxidative damage. Detected in tau inclusions in brains from neurodegenerative disease patients. Tissue Specificity: Highly expressed in pancreas, kidney, skeletal muscle, liver, testis and heart. Detected at slightly lower levels in placenta and brain. Detected in astrocytes, Sertoli cells, spermatogonia, spermatids and spermatozoa. Post-translational modifications: Sumoylated on Lys-130 by PIAS2 or PIAS4; which is enhanced after ultraviolet irradiation and essential for cell-growth promoting activity and transforming activity. DISEASE: Defects in PARK7 are the cause of Parkinson disease type 7 (PARK7) [MIM:606324]. A neurodegenerative disorder characterized by resting tremor, postural tremor, bradykinesia, muscular rigidity, anxiety and psychotic episodes. PARK7 has onset before 40 years, slow progression and initial good response to levodopa. Some patients may show traits reminiscent of amyotrophic lateral sclerosis-parkinsonism/dementia complex (Guam disease). Similarity: Belongs to the peptidase C56 family. SWISS: Q99497 Gene ID: 11315 Database links: Entrez Gene: 11315 Human Entrez Gene: 57320 Mouse Omim: 602533 Human SwissProt: Q99497 Human SwissProt: Q99LX0 Mouse Unigene: 419640 Human Unigene: 277349 Mouse Unigene: 30105 Rat Important Note: This product as supplied is intended for research use only, not for use in human, therapeutic or diagnostic applications. DJ-1蛋白是近年来新发现的一种肿瘤蛋白,DJ-1能有效保护细胞抵抗氧化应激, 该蛋白早期主要用于肿瘤方面的研究,近年来科研人员经研究认为:DJ-1蛋白与神经退化及损伤有一定的关联。 |







