

货号
产品规格
售价
备注
BN40382R-100ul
100ul
¥2360.00
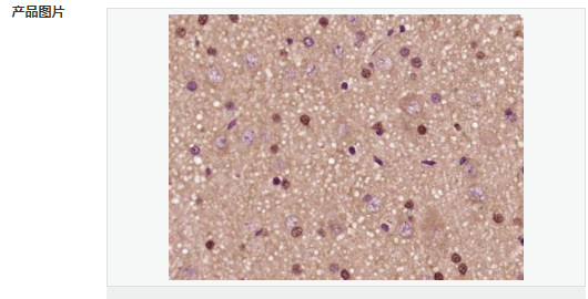
交叉反应:Mouse,Rat(predicted:Human,Dog,Pig,Cow,Horse,Rabbit,Sheep) 推荐应用:IHC-P,IHC-F,ICC,IF,ELISA
BN40382R-200ul
200ul
¥3490.00
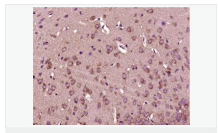
交叉反应:Mouse,Rat(predicted:Human,Dog,Pig,Cow,Horse,Rabbit,Sheep) 推荐应用:IHC-P,IHC-F,ICC,IF,ELISA
产品描述
| 英文名称 | PFKFB3/PFK2 |
| 中文名称 | 果糖-2,6-二磷酸酶3/磷酸果糖激酶2抗体 |
| 别 名 | 6 phosphofructo 2 kinase/ fructose 2,6 bisphosphatase; 6 phosphofructo 2 kinase/fructose 2,6 biphosphatase 3; 6-bisphosphatase; 6-P2ase 3; 6-P2ASE brain/placenta-type isozyme; 6PF 2 K/Fru 2,6 P2ASE brain/placenta type isozyme; 6PF 2-K/Fru 2,6 P2ase 3; 6PF-2-K/Fru-2; F263_HUMAN; fructose 6 phosphate,2 kinase/fructose 2, 6 bisphosphatase; Fructose-2; Inducible 6 phosphofructo 2 kinase/fructose 2,6 bisphosphatase; iPFK 2; iPFK-2; IPFK2; PFK/FBPase 3; PFK2; PFKFB3; Renal carcinoma antigen NY REN 56; Renal carcinoma antigen NY-REN-56; uPFK 2. |
| 研究领域 | 细胞生物 神经生物学 信号转导 激酶和磷酸酶 |
| 抗体来源 | Rabbit |
| 克隆类型 | Polyclonal |
| 交叉反应 | Mouse, Rat, (predicted: Human, Dog, Pig, Cow, Horse, Rabbit, Sheep, ) |
| 产品应用 | ELISA=1:5000-10000 IHC-P=1:100-500 IHC-F=1:100-500 ICC=1:100-500 IF=1:100-500 (石蜡切片需做抗原修复) not yet tested in other applications. optimal dilutions/concentrations should be determined by the end user. |
| 分 子 量 | 59kDa |
| 细胞定位 | 细胞核 细胞浆 |
| 性 状 | Liquid |
| 浓 度 | 1mg/ml |
| 免 疫 原 | KLH conjugated synthetic peptide derived from human PFKFB3:421-520/520 |
| 亚 型 | IgG |
| 纯化方法 | affinity purified by Protein A |
| 储 存 液 | 0.01M TBS(pH7.4) with 1% BSA, 0.03% Proclin300 and 50% Glycerol. |
| 保存条件 | Shipped at 4℃. Store at -20 °C for one year. Avoid repeated freeze/thaw cycles. |
| PubMed | PubMed |
| 产品介绍 | The protein encoded by this gene belongs to a family of bifunctional proteins that are involved in both the synthesis and degradation of fructose-2,6-bisphosphate, a regulatory molecule that controls glycolysis in eukaryotes. The encoded protein has a 6-phosphofructo-2-kinase activity that catalyzes the synthesis of fructose-2,6-bisphosphate (F2,6BP), and a fructose-2,6-biphosphatase activity that catalyzes the degradation of F2,6BP. This protein is required for cell cycle progression and prevention of apoptosis. It functions as a regulator of cyclin-dependent kinase 1, linking glucose metabolism to cell proliferation and survival in tumor cells. Several alternatively spliced transcript variants encoding different isoforms have been found for this gene. [provided by RefSeq, Apr 2016] Function: Synthesis and degradation of fructose 2,6-bisphosphate. Tissue Specificity: Ubiquitous. Post-translational modifications: Phosphorylation by AMPK stimulates activity. Similarity: In the C-terminal section; belongs to the phosphoglycerate mutase family. SWISS: Q16875 Gene ID: 5209 Database links: Entrez Gene: 5209 Human Entrez Gene: 170768 Mouse Omim: 605319 Human SwissProt: Q16875 Human Unigene: 444304 Human Unigene: 44844 Rat Important Note: This product as supplied is intended for research use only, not for use in human, therapeutic or diagnostic applications |

