

货号
产品规格
售价
备注
BN40319R-100ul
100ul
¥2470.00
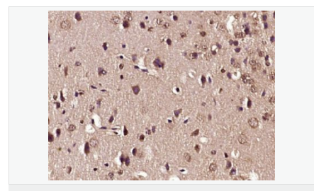
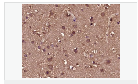
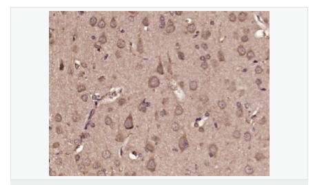
交叉反应:Rat,Mouse,Human(predicted:Sheep,Rabbit,Horse,Cow,Pig,Dog) 推荐应用:IHC-P,IHC-F,IF,ELISA
产品描述
| 英文名称 | phospho-GluR1 (Ser863) |
| 中文名称 | 磷酸化谷氨酸受体1抗体 |
| 别 名 | p-GluR-1(Ser 863); p-GluR1(Ser863); Glutamate Receptor 1 (phospho S863); Glutamate Receptor 1 (phospho Ser863); GLUR 1; GLUR A; AMPA 1; GluR-1; AMPA selective glutamate receptor 1; AMPA-selective glutamate receptor 1; GluA1; GLUH 1; GLUH1; GluR K1; GluR-1; GluR-A; GluR-K1; GLUR1; GLURA; GluRK1; Glutamate receptor 1; Glutamate receptor ionotropic AMPA 1; Glutamate receptor ionotropic; Glutamate receptor, ionotropic, AMPA 1; Gria 1; Gria1; GRIA1_HUMAN; HBGR1; MGC133252; OTTHUMP00000160643; OTTHUMP00000165781; OTTHUMP00000224241; OTTHUMP00000224242; OTTHUMP00000224243. |
| 产品类型 | 磷酸化抗体 |
| 研究领域 | 肿瘤 细胞生物 免疫学 神经生物学 信号转导 转录调节因子 细胞膜受体 |
| 抗体来源 | Rabbit |
| 克隆类型 | Polyclonal |
| 交叉反应 | Human, Mouse, Rat, (predicted: Dog, Pig, Cow, Horse, Rabbit, Sheep, ) |
| 产品应用 | WB=1:500-2000 ELISA=1:5000-10000 IHC-P=1:100-500 IHC-F=1:100-500 ICC=1:100-500 IF=1:100-500 (石蜡切片需做抗原修复) not yet tested in other applications. optimal dilutions/concentrations should be determined by the end user. |
| 分 子 量 | 98kDa |
| 细胞定位 | 细胞浆 细胞膜 |
| 性 状 | Liquid |
| 浓 度 | 1mg/ml |
| 免 疫 原 | KLH conjugated synthesised phosphopeptide derived from human GluR1 around the phosphorylation site of Ser863:RN(p-S)GA |
| 亚 型 | IgG |
| 纯化方法 | affinity purified by Protein A |
| 储 存 液 | 0.01M TBS(pH7.4) with 1% BSA, 0.03% Proclin300 and 50% Glycerol. |
| 保存条件 | Shipped at 4℃. Store at -20 °C for one year. Avoid repeated freeze/thaw cycles. |
| PubMed | PubMed |
| 产品介绍 | Glutamate receptors are the predominant excitatory neurotransmitter receptors in the mammalian brain and are activated in a variety of normal neurophysiologic processes. These receptors are heteromeric protein complexes with multiple subunits, each possessing transmembrane regions, and all arranged to form a ligand-gated ion channel. The classification of glutamate receptors is based on their activation by different pharmacologic agonists. This gene belongs to a family of alpha-amino-3-hydroxy-5-methyl-4-isoxazole propionate (AMPA) receptors. Alternatively spliced transcript variants encoding different isoforms have been found for this gene. [provided by RefSeq, Jul 2008]. Function: Ionotropic glutamate receptor. L-glutamate acts as an excitatory neurotransmitter at many synapses in the central nervous system. Binding of the excitatory neurotransmitter L-glutamate induces a conformation change, leading to the opening of the cation channel, and thereby converts the chemical signal to an electrical impulse. The receptor then desensitizes rapidly and enters a transient inactive state, characterized by the presence of bound agonist. Subunit: Homotetramer or heterotetramer of pore-forming glutamate receptor subunits. Tetramers may be formed by the dimerization of dimers. Interacts with DLG1 via its C-terminus. Interacts with SYNDIG1 and GRIA2. Interacts with LRFN. Interacts with HIP1 and RASGRF2. Found in a complex with GRIA2, GRIA3, GRIA4, CNIH2, CNIH3, CACNG2, CACNG3, CACNG4, CACNG5, CACNG7 and CACNG8. Interacts with CACNG5. Interacts with CNIH2 and CACNG2. Subcellular Location: Cell membrane. Endoplasmic reticulum membrane. Tissue Specificity: Widely expressed in brain. Post-translational modifications: Palmitoylated. Depalmitoylated upon glutamate stimulation. Cys-603 palmitoylation leads to Golgi retention and decreased cell surface expression. In contrast, Cys-829 palmitoylation does not affect cell surface expression but regulates stimulation-dependent endocytosis. Similarity: Belongs to the glutamate-gated ion channel (TC 1.A.10.1) family. GRIA1 subfamily. SWISS: P42261 Gene ID: 2890 Database links: Entrez Gene: 2890 Human Entrez Gene: 14799 Mouse Omim: 138248 Human SwissProt: P42261 Human SwissProt: P23818 Mouse Unigene: 519693 Human Unigene: 4920 Mouse Unigene: 29971 Rat Important Note: This product as supplied is intended for research use only, not for use in human, therapeutic or diagnostic applications. |



