

货号
产品规格
售价
备注
BN40312R-100ul
100ul
¥2360.00
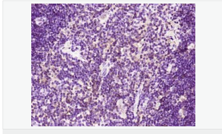
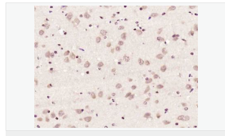
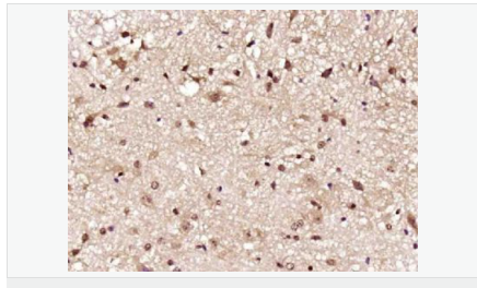
交叉反应:Human,Rat(predicted:Mouse,Pig,Horse,Rabbit) 推荐应用:WB,IHC-P,IHC-F,IF,ELISA
BN40312R-200ul
200ul
¥3490.00
交叉反应:Human,Rat(predicted:Mouse,Pig,Horse,Rabbit) 推荐应用:WB,IHC-P,IHC-F,IF,ELISA
产品描述
| 英文名称 | Gemin 2 |
| 中文名称 | 脊髓性肌萎缩症蛋白SMA抗体 |
| 别 名 | SMA; Gemin2; Component of gems 2; Gem (nuclear organelle) associated protein 2; Gem associated protein 2; GEMI2_HUMAN; Gemin-2; gemin2; SIP 1; SIP-1; SIP1; SIP1 delta; SIP1-delta ; SMN interacting protein 1; SMN interacting protein 1 delta; SMN-interacting protein 1; Survival interacting protein 1; Survival of motor neuron protein interacting protein 1; Survival of motor neuron protein-interacting protein 1. |
| 研究领域 | 细胞生物 神经生物学 |
| 抗体来源 | Rabbit |
| 克隆类型 | Polyclonal |
| 交叉反应 | Human, Rat, (predicted: Mouse, Pig, Horse, Rabbit, ) |
| 产品应用 | WB=1:500-2000 ELISA=1:5000-10000 IHC-P=1:100-500 IHC-F=1:100-500 ICC=1:100-500 IF=1:100-500 (石蜡切片需做抗原修复) not yet tested in other applications. optimal dilutions/concentrations should be determined by the end user. |
| 分 子 量 | 32kDa |
| 细胞定位 | 细胞核 细胞浆 |
| 性 状 | Liquid |
| 浓 度 | 1mg/ml |
| 免 疫 原 | KLH conjugated synthetic peptide derived from human Gemin 2:101-200/280 |
| 亚 型 | IgG |
| 纯化方法 | affinity purified by Protein A |
| 储 存 液 | 0.01M TBS(pH7.4) with 1% BSA, 0.03% Proclin300 and 50% Glycerol. |
| 保存条件 | Shipped at 4℃. Store at -20 °C for one year. Avoid repeated freeze/thaw cycles. |
| PubMed | PubMed |
| 产品介绍 | This gene encodes one of the proteins found in the SMN complex, which consists of several gemin proteins and the protein known as the survival of motor neuron protein. The SMN complex is localized to a subnuclear compartment called gems (gemini of coiled bodies) and is required for assembly of spliceosomal snRNPs and for pre-mRNA splicing. This protein interacts directly with the survival of motor neuron protein and it is required for formation of the SMN complex. A knockout mouse targeting the mouse homolog of this gene exhibited disrupted snRNP assembly and motor neuron degeneration. [provided by RefSeq, Aug 2011]. Function: The SMN complex plays an essential role in spliceosomal snRNP assembly in the cytoplasm and is required for pre-mRNA splicing in the nucleus. Subunit: Part of the core SMN complex that contains SMN1, GEMIN2/SIP1, DDX20/GEMIN3, GEMIN4, GEMIN5, GEMIN6, GEMIN7, GEMIN8 and STRAP/UNRIP. Interacts directly with GEMIN5. Subcellular Location: Nucleus, gem. Cytoplasm. Note=Localized in subnuclear structures next to coiled bodies, called gems, which are highly enriched in spliceosomal snRNPs. Also found in the cytoplasm. Similarity: Belongs to the gemin-2 family. SWISS: O14893 Gene ID: 8487 Database links: Entrez Gene: 8487 Human Entrez Gene: 66603 Mouse Omim: 602595 Human SwissProt: O14893 Human SwissProt: Q9CQQ4 Mouse Unigene: 652307 Human Unigene: 35353 Mouse Unigene: 34143 Rat Important Note: This product as supplied is intended for research use only, not for use in human, therapeutic or diagnostic applications. |



