

货号
产品规格
售价
备注
BN40287R-100ul
100ul
¥2360.00
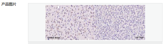
交叉反应:Mouse,Rat(predicted:Human,Dog,Pig,Cow,Horse,Sheep) 推荐应用:WB,IHC-P,IHC-F,ICC,IF,ELISA
BN40287R-200ul
200ul
¥3490.00
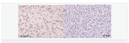
交叉反应:Mouse,Rat(predicted:Human,Dog,Pig,Cow,Horse,Sheep) 推荐应用:WB,IHC-P,IHC-F,ICC,IF,ELISA
产品描述
| 英文名称 | MOBP |
| 中文名称 | 少突胶质细胞髓鞘相关蛋白抗体 |
| 别 名 | MGC87379; Myelin associated oligodendrocyte basic protein; MOBP_HUMAN. |
| 研究领域 | 细胞生物 神经生物学 细胞类型标志物 |
| 抗体来源 | Rabbit |
| 克隆类型 | Polyclonal |
| 交叉反应 | Mouse, Rat, (predicted: Human, Dog, Pig, Cow, Horse, Sheep, ) |
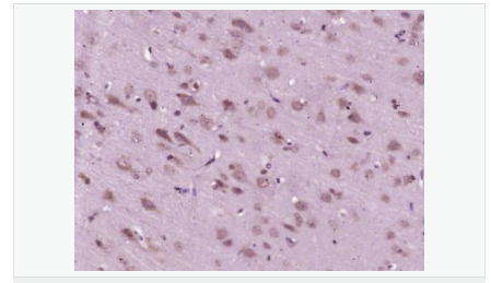
| 产品应用 | WB=1:500-2000 ELISA=1:5000-10000 IHC-P=1:100-500 IHC-F=1:100-500 ICC=1:100-500 IF=1:100-500 (石蜡切片需做抗原修复) not yet tested in other applications. optimal dilutions/concentrations should be determined by the end user. |
| 分 子 量 | 21kDa |
| 细胞定位 | 细胞浆 |
| 性 状 | Liquid |
| 浓 度 | 1mg/ml |
| 免 疫 原 | KLH conjugated synthetic peptide derived from human MOBP:7-90/183 |
| 亚 型 | IgG |
| 纯化方法 | affinity purified by Protein A |
| 储 存 液 | 0.01M TBS(pH7.4) with 1% BSA, 0.03% Proclin300 and 50% Glycerol. |
| 保存条件 | Shipped at 4℃. Store at -20 °C for one year. Avoid repeated freeze/thaw cycles. |
| PubMed | PubMed |
| 产品介绍 | The gene encoding MOBP a member of the central nervous system myelin-constituting proteins, maps to chromosome 3p22.2. MOBP has many splice variants that share a 68 amino acid N-terminal domain. MOBP-71, MOBP-81A, MOBP-99, and MOBP-169 are MOBP splice variants that contain exon 8b, which is similar to myelin basic protein (MBP) mRNA RTS, however MOBP-69, MOBP-81B, and MOBP-170 lack this exon. The splice variants that contain exon 8b are expressed in myelin, while those lacking exon 8b are retained in the oligodendrocyte soma. Exon 8b-containing variants are directed to sites of myelin sheath assembly by exon 8b, where they play a structural role in myelin formation. Splice variants lacking exon 8b likely play a cellular and/or regulatory role. MOBP is implicated in multiple sclerosis (MS), a human demyelinating disease, and in allergic encephalomyelitis in rodents. Function: MOBP (Myelin-associated oligodendrocytic basic protein) is abundantly expressed specifically in oligodendrocytes and is the third most abundant protein in CNS myelin. MOBP is present in the major dense line of CNS myelin suggesting a role in the compaction or stabilization of myelin. Subcellular Location: Cytoplasm, perinuclear region. Note=Present in the major dense line of CNS myelin (By similarity). SWISS: Q13875 Gene ID: 4336 Database links: Entrez Gene: 4336 Human Entrez Gene: 17433 Mouse Omim: 600948 Human SwissProt: Q13875 Human SwissProt: Q9D2P8 Mouse Unigene: 121333 Human Important Note: This product as supplied is intended for research use only, not for use in human, therapeutic or diagnostic applications. |


