

货号
产品规格
售价
备注
BN40261R-100ul
100ul
¥2360.00
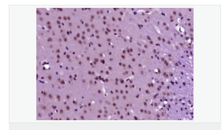
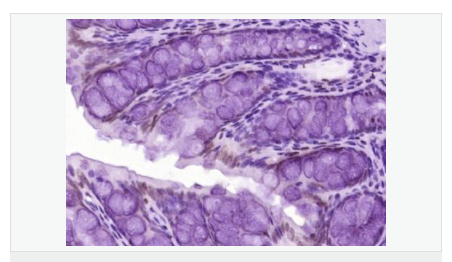
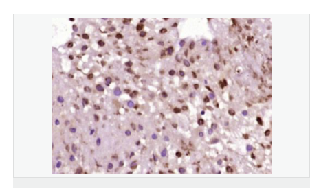
交叉反应:Human,Mouse,Rat(predicted:Dog,Pig,Cow,Rabbit,Sheep) 推荐应用:WB,IHC-P,IHC-F,ICC,IF,ELISA
BN40261R-200ul
200ul
¥3490.00
交叉反应:Human,Mouse,Rat(predicted:Dog,Pig,Cow,Rabbit,Sheep) 推荐应用:WB,IHC-P,IHC-F,ICC,IF,ELISA
产品描述
| 英文名称 | JNK1+JNK2 |
| 中文名称 | 氨基末端激酶1/2抗体 |
| 别 名 | JNK1 + JNK2; JNK1 + 2; JNK1/2; c Jun N terminal kinase 1; JNK1; JNK2; JAK 1A; JAK1A; JNK 1; JNK 46; JNK; JNK1A2; JNK21B1/2; MAPK 8; MAPK8; Mitogen activated protein kinase 8; PRKM 8; PRKM8; Protein kinase JNK1; SAPK 1; SAPK gamma; SAPK1; c-Jun; Stress activated protein kinase JNK1; Tyrosine protein kinase JAK1; MK08_HUMAN. |
| 抗体来源 | Rabbit |
| 克隆类型 | Polyclonal |
| 交叉反应 | Human, Mouse, Rat, (predicted: Dog, Pig, Cow, Rabbit, Sheep, ) |
| 产品应用 | WB=1:500-2000 ELISA=1:5000-10000 IHC-P=1:100-500 IHC-F=1:100-500 ICC=1:100-500 IF=1:100-500 (石蜡切片需做抗原修复) not yet tested in other applications. optimal dilutions/concentrations should be determined by the end user. |
| 分 子 量 | 42kDa |
| 细胞定位 | 细胞核 细胞浆 |
| 性 状 | Liquid |
| 浓 度 | 1mg/ml |
| 免 疫 原 | KLH conjugated synthetic peptide derived from human JNK1+JNK2:131-230/384 |
| 亚 型 | IgG |
| 纯化方法 | affinity purified by Protein A |
| 储 存 液 | 0.01M TBS(pH7.4) with 1% BSA, 0.03% Proclin300 and 50% Glycerol. |
| 保存条件 | Shipped at 4℃. Store at -20 °C for one year. Avoid repeated freeze/thaw cycles. |
| PubMed | PubMed |
| 产品介绍 | The protein encoded by this gene is a member of the MAP kinase family. MAP kinases act as an integration point for multiple biochemical signals, and are involved in a wide variety of cellular processes such as proliferation, differentiation, transcription regulation and development. This kinase is activated by various cell stimuli, and targets specific transcription factors, and thus mediates immediate-early gene expression in response to cell stimuli. The activation of this kinase by tumor-necrosis factor alpha (TNF-alpha) is found to be required for TNF-alpha induced apoptosis. This kinase is also involved in UV radiation induced apoptosis, which is thought to be related to cytochrom c-mediated cell death pathway. Studies of the mouse counterpart of this gene suggested that this kinase play a key role in T cell proliferation, apoptosis and differentiation. Five alternatively spliced transcript variants encoding distinct isoforms have been reported. [provided by RefSeq, Jun 2013] Function: Responds to activation by environmental stress and pro-inflammatory cytokines by phosphorylating a number of transcription factors, primarily components of AP-1 such as JUN, JDP2 and ATF2 and thus regulates AP-1 transcriptional activity. In T-cells, JNK1 and JNK2 are required for polarized differentiation of T-helper cells into Th1 cells (By similarity). Phosphorylates heat shock factor protein 4 (HSF4). JNK1 isoforms display different binding patterns: beta-1 preferentially binds to c-Jun, whereas alpha-1, alpha-2, and beta-2 have a similar low level of binding to both c-Jun or ATF2. However, there is no correlation between binding and phosphorylation, which is achieved at about the same efficiency by all isoforms. Post-translational modifications: Dually phosphorylated on Thr-183 and Tyr-185, which activates the enzyme. Similarity: Belongs to the protein kinase superfamily. CMGC Ser/Thr protein kinase family. MAP kinase subfamily. Contains 1 protein kinase domain. SWISS: P45983 Gene ID: 5599 Database links: Entrez Gene: 5599 Human Entrez Gene: 5601 Human Entrez Gene: 26419 Mouse Entrez Gene: 26420 Mouse Omim: 601158 Human Omim: 602896 Human SwissProt: P45983 Human SwissProt: P45984 Human SwissProt: Q91Y86 Mouse SwissProt: Q9WTU6 Mouse Unigene: 138211 Human Unigene: 348446 Human Unigene: 21495 Mouse Unigene: 68933 Mouse Unigene: 4090 Rat Unigene: 9910 Rat Important Note: This product as supplied is intended for research use only, not for use in human, therapeutic or diagnostic applications. |





